首页 / 产品 / 抗体

抗体

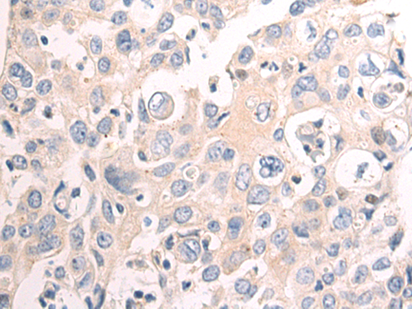
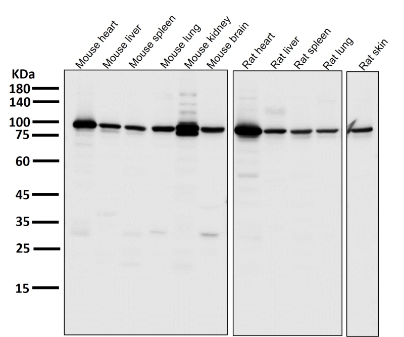
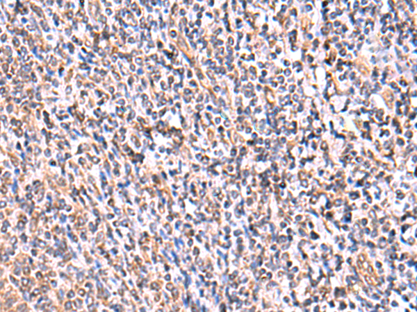
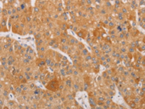
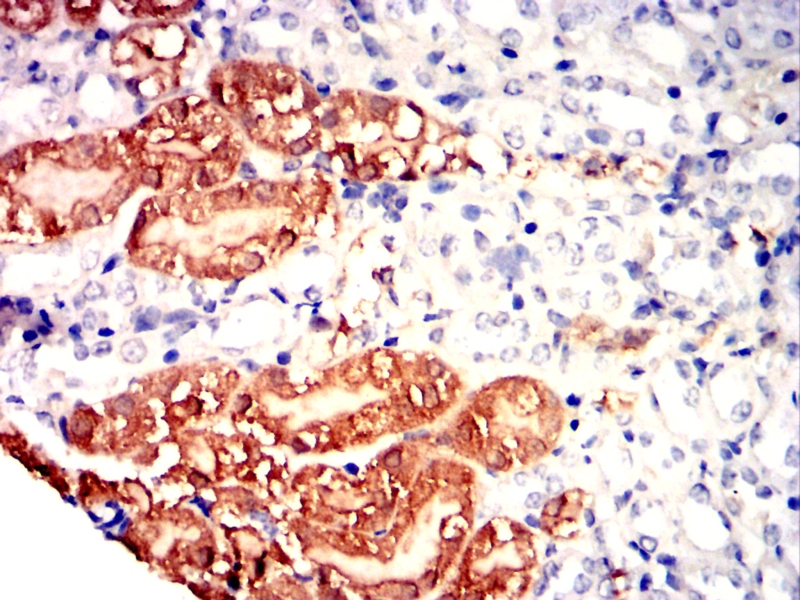
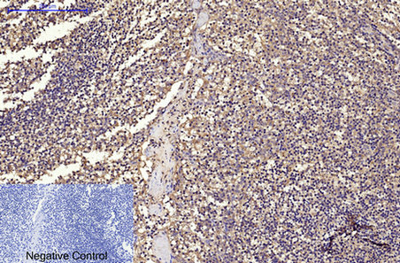
Rabbit Polyclonal Antibody to Rac GAP1 (phospho Ser387)

中文名: RACGAP1抗体

Catalog:IPDX44139

Size: 50μl / 100μl

Application: WB IHC IF ELISA

Synonyms: RACGAP1; KIAA1478; MGCRACGAP; Rac GTPase-activating protein 1; Male germ cell RacGap; MgcRacGAP; Protein CYK4 homolg; CYK4; HsCYK-4

靶点: RACGAP1

种属:Human,Mouse,Rat,Monkey

Mouse Monoclonal Antibody to TG

中文名:TG抗体

Catalog:IPDX94085

Size: 50ul / 100ul

GeneID: P01266

Application: IF

Reactivity: Human,Rat

靶点:TG

种属: Human,Rat

Mouse Monoclonal Antibody to ZDHHC9

中文名:ZDHHC9抗体

Catalog:IPDX94084

Size: 50ul / 100ul

Application: WB IF

Reactivity:Human,Mouse

靶点: ZDHHC9

种属:Human,Mouse

Mouse Monoclonal Antibody to PLBD1

中文名: PLBD1抗体

Catalog:IPDX94083

Size: 50ul / 100ul

Application: WB

Reactivity:Human,Mouse

靶点: PLBD1

种属:Human,Mouse

Rabbit Monoclonal GSTA4 Antibody

中文名:GSTA4抗体

Catalog:IPDX17177

Size: 50μl / 100μl

Application: WB IF IHC ICC FCM Elisa

Reactivity:Human,Mouse,Rat

Synonyms:GSTA4;;GSTA4

Type:Primary antibody

Mouse Monoclonal Antibody to ATP7A

中文名:ATP7A抗体

Catalog:IPDX94080

Size: 50μl / 100μl

Application: WB ELISA

Synonyms:MK; MNK; DSMAX; SMAX3

靶点:ATP7A

种属:Human,Mouse

Rabbit Polyclonal BNIP3 Antibody

中文名:BNIP3抗体

Catalog:IPDX08003

Size: 50μl / 100μl

Application: WB IF IHC ICC FCM Elisa

Reactivity:Human,Mouse,Rat

Synonyms:NIP3

Type:Primary antibody

Mouse Monoclonal Antibody to LAMP2A

中文名:LAMP2A抗体

Catalog:IPDX94078

Size: 50μl  / 100μl

Application: WB IF

Reactivity:Human,Mouse

Synonyms:LAMP2; Lysosome-associated membrane glycoprotein 2

靶点:LAMP2A

种属:Human,Mouse

表达宿主:Mouse

Rabbit Polyclonal SCAP Antibody

中文名:SCAP抗体

Catalog:IPDX08742

Size: 50μl / 100μl

Application: WB IF IHC ICC FCM Elisa

Reactivity:Human,Mouse,Rat

Synonyms:nan

Type:Primary antibody

Rabbit Polyclonal Phospho-STAT3(Tyr705) Antibody

中文名:Phospho-STAT3 (Tyr705)抗体

Catalog:IPDX20280

Size: 50μl / 100μl

Application: WB IF IHC ICC FCM Elisa

Reactivity:Human,Mouse,Rat

Synonyms:STAT3; APRF; Signal transducer and activator of transcription 3; Acute-phase response factor

Type:Primary antibody

Rabbit Polyclonal Phospho-STAT3(Ser727) Antibody

中文名:Phospho-STAT3 (Ser727)抗体

Catalog:IPDX20279

Size: 50μl / 100μl

Application: WB IF IHC ICC FCM Elisa

Reactivity:Human,Mouse,Rat

Synonyms:STAT3; APRF; Signal transducer and activator of transcription 3; Acute-phase response factor

Type:Primary antibody

Rabbit Polyclonal CDC25A Antibody

中文名:CDC25A抗体

Catalog:IPDX07179

Size: 50μl / 100μl

Application: WB IF IHC ICC FCM Elisa

Reactivity:Human,Mouse,Rat

Synonyms:CDC25A2

Type:Primary antibody

Rabbit Monoclonal PGC1alpha/beta Antibody

中文名:PGC1alpha/beta抗体

Catalog:IPDX17489

Size: 50μl / 100μl

Application: WB IF IHC ICC FCM Elisa

Reactivity:Human,Mouse,Rat

Synonyms:PPARGC1A; LEM6; PGC1; PGC1A; PGC-1v; PPARGC1; PGC-1(alpha);;PGC1 alpha/beta

Type:Primary antibody

Rabbit Polyclonal DRP1 Antibody

中文名:DRP1抗体

Catalog:IPDX23559

Size: 50μl / 100μl

Application: WB IF IHC ICC FCM Elisa

Reactivity:Human,Mouse,Rat

Synonyms:DNM1L; DLP1; DRP1; Dynamin-1-like protein; Dnm1p/Vps1p-like protein; DVLP; Dynamin family member proline-rich carboxyl-terminal domain less; Dymple; Dynamin-like protein; Dynamin-like protein 4; Dynamin-like protein IV; HdynIV; Dynamin-rela

Type:Primary antibody

Rabbit Monoclonal OPA1 Antibody

中文名:OPA1抗体

Catalog:IPDX17728

Size: 50μl / 100μl

Application: WB IF IHC ICC FCM Elisa

Reactivity:Human,Mouse,Rat

Synonyms:Large GTP binding protein; largeG; MGM1; Mitochondrial dynamin like GTPase; NPG; NTG; OAK; OPA 1;;OPA1

Type:Primary antibody

Rabbit Monoclonal Mitofusin2 Antibody

中文名:Mitofusin2抗体

Catalog:IPDX17495

Size: 50μl / 100μl

Application: WB IF IHC ICC FCM Elisa

Reactivity:Human,Mouse,Rat

Synonyms:CMT2A2; CMT2A; CPRP1; MFN2; Hyperplasia suppressor; MARF; Mitofusin 2; HSG; Mitofusin-2;;Mitofusin 2

Type:Primary antibody

Mouse Monoclonal CD68 Antibody

中文名:CD68抗体

Catalog:IPDX20497

Size: 50μl / 100μl

Application: WB IF IHC ICC FCM Elisa

Reactivity:Human,Mouse,Rat

Synonyms:CD68; Macrosialin; Gp110; CD68

Type:Primary antibody

Mouse Monoclonal Antibody to SLC12A4

中文名:SLC12A4抗体

Catalog:IPDX94077

Size: 50μl  / 100μl

Application: WB IP IHC IF

Reactivity:Human,Mouse,Rat

Synonyms:KCC1

靶点:SLC12A4

Rabbit Polyclonal GPR132 Antibody

中文名:GPR132抗体

Catalog:IPDX23297

Size: 50μl / 100μl

Application: WB IF IHC ICC FCM Elisa

Reactivity:Human,Mouse,Monkey

Synonyms:GPR132; G2A; Probable G-protein coupled receptor 132; G2 accumulation protein

Type:Primary antibody

Rabbit Polyclonal UXS1 Antibody

中文名:UXS1抗体

Catalog:IPDX03147

Size: 50μl / 100μl

Application: WB IF IHC ICC FCM Elisa

Reactivity:Human,Mouse,Rat

Synonyms:UGD; SDR6E1

Type:Primary antibody