首页 / 产品 / 抗体 / 一抗

Mouse Monoclonal Antibody to SLC12A4

  • 中文名: SLC12A4抗体
  • 别    名: KCC1
货号: IPDX94077
Price: ¥1450
数量:
大包装询价

验证与应用

应用及物种
WB 1/500-1/2000 Human,Mouse,Rat
IP 1/20-1/100 Human,Mouse,Rat
IHC 1/100-1/500 Human,Mouse,Rat
IF 1/50-1/500 Human,Mouse,Rat

产品详情

Specification

AliasesKCC1
SwissprotQ9UP95
clone9E15
WB Predicted band size120KD
Host/IsotypeMouse IgG1
Antibody TypePrimary antibody
StorageStore at 4°C short term. Aliquot and store at -20°C long term. Avoid freeze/thaw cycles.
Species ReactivityHuman,Mouse,Rat
ImmunogenFusion protein of human SLC12A4
FormulationPurified antibody in PBS with 0.05% sodium azide.



 

Western blot analysis using SLC12A4 mouse mAb against Jurkat (1), Hela (2) and HEK293 (3) cell lysate.


 

Immunofluorescence analysis of NIH/3T3 cells using SLC12A4 mouse mAb (green). Blue: DRAQ5 fluorescent DNA dye. Red: Actin filaments have been labeled with Alexa Fluor-555 phalloidin.


 

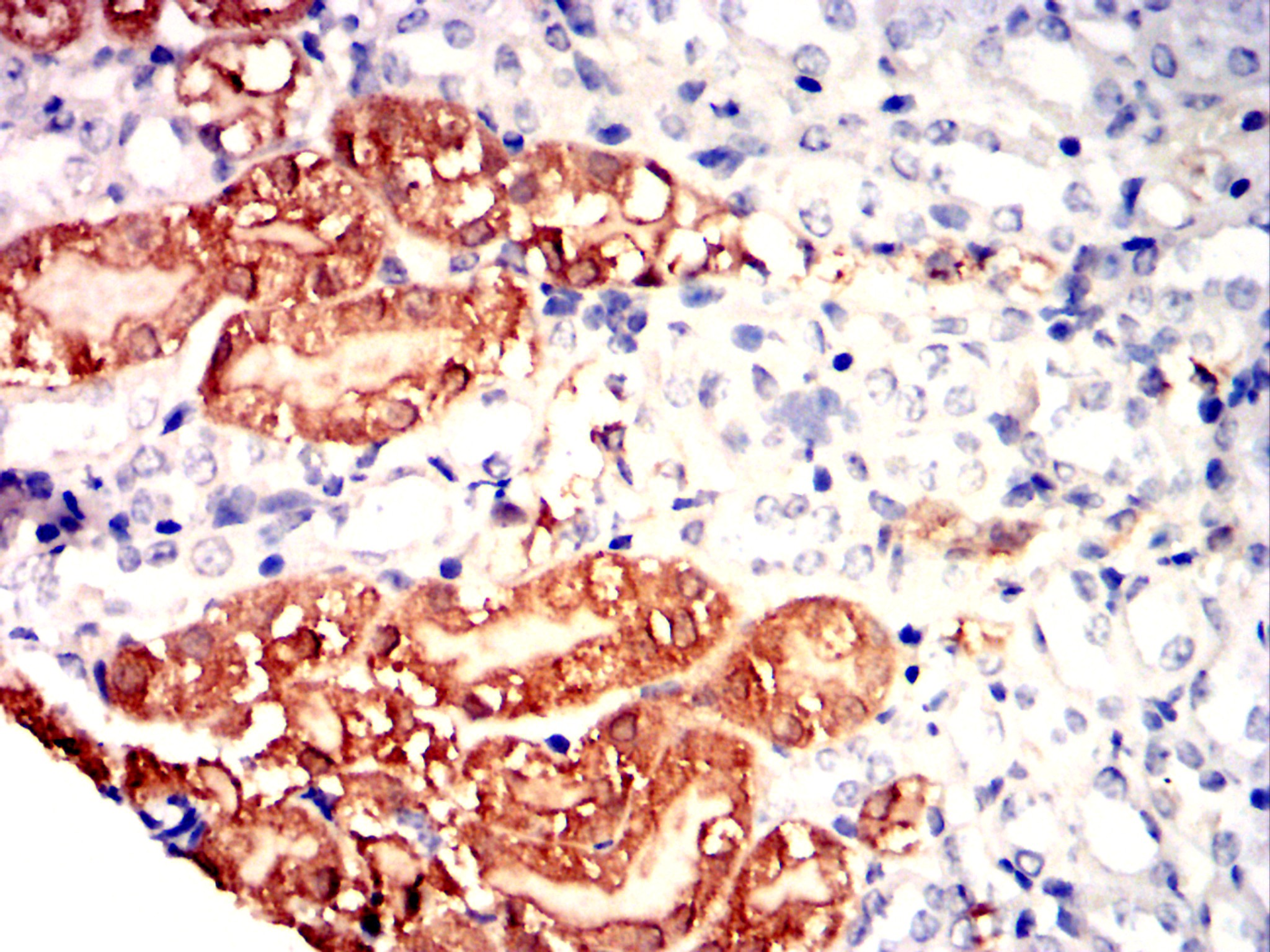
Immunohistochemical analysis of paraffin-embedded Rat kidney using SLC12A4 mouse mAb with DAB staining.

客户数据及评论

折叠内容

大包装询价

×