| WB | 咨询技术 | Human,Mouse,Rat |
| IF | 1/50-1/200 | Human,Mouse,Rat |
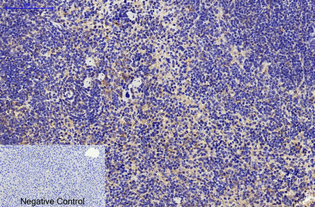
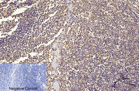
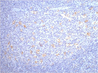
| IHC | 1/50-1/100 | Human,Mouse,Rat |
| ICC | 1/50-1/200 | Human,Mouse,Rat |
| FCM | 咨询技术 | Human,Mouse,Rat |
| Elisa | 咨询技术 | Human,Mouse,Rat |
| Aliases | CD68; Macrosialin; Gp110; CD68 |
| Entrez GeneID | 968 |
| clone | 9H5 |
| Host/Isotype | Mouse IgG1 |
| Antibody Type | Primary antibody |
| Storage | Store at 4°C short term. Aliquot and store at -20°C long term. Avoid freeze/thaw cycles. |
| Species Reactivity | Human,Mouse |
| Immunogen | Synthetic Peptide of CD68 |
| Formulation | Purified antibody in PBS with 0.05% sodium azide,0.5%BSA and 50% glycerol. |
+ +
以下是关于CD68抗体的3篇参考文献及其摘要概括:
1. **"CD68: A Disputed Marker for Macrophages" (Fujiyoshi Y, et al., 2018)**
该文献探讨了CD68抗体作为巨噬细胞标志物的争议性,指出其在某些非巨噬细胞类型(如成纤维细胞或肿瘤细胞)中也可能表达,强调了在特定组织中使用时需结合其他标记物验证。
2. **"Comparison of CD68. CD163. and CD206 Expression in Tumor-Associated Macrophages" (Wang Y, et al., 2020)**
研究比较了不同抗体(包括CD68)标记肿瘤相关巨噬细胞(TAMs)的敏感性和特异性,发现CD68广泛标记M1/M2型巨噬细胞,但在区分亚型时需结合CD163或CD206.
3. **"CD68 and Macrophage Infiltration in Atherosclerotic Plaque" (Ohshima S, et al., 2002)**
通过免疫组化分析动脉粥样硬化斑块,发现CD68抗体能有效标记斑块内巨噬细胞,其表达水平与斑块不稳定性相关,提示其在心血管疾病研究中的价值。
如需更详细文献信息,可进一步提供具体研究方向或数据库检索关键词。
The CD68 antibody is a widely used immunohistochemical marker for identifying cells of the monocyte-macrophage lineage. CD68. a glycoprotein encoded by the *CD68* gene in humans, is a member of the lysosome-associated membrane protein (LAMP) family. It is primarily expressed on the surface and within cytoplasmic granules of monocytes, macrophages, dendritic cells, and select myeloid-derived cell populations. The protein's structure includes a heavily glycosylated luminal domain, a transmembrane region, and a short cytoplasmic tail, facilitating its role in lysosomal trafficking and phagocytic processes.
CD68 antibodies, often raised against conserved epitopes in the protein's cysteine-rich domain, are crucial for detecting macrophage infiltration in pathological conditions such as inflammation, infections, and tumors. Commonly used clones like KP1. PG-M1. and EBM11 recognize different glycosylation-dependent epitopes, leading to variability in staining intensity across tissue types or fixation methods. While CD68 is considered a pan-macrophage marker, its expression is not entirely exclusive; low levels may occur in fibroblasts, neutrophils, or certain cancer cells, necessitating interpretation alongside morphology and other markers. In research and diagnostics, CD68 staining helps assess macrophage polarization, tumor-associated macrophage density, and inflammatory responses in diseases like atherosclerosis or rheumatoid arthritis. Despite newer markers emerging (e.g., CD163. CD206), CD68 remains a cornerstone in macrophage characterization due to its broad reactivity and reliability in formalin-fixed tissues.
×