首页 / 产品 / 抗体 / 一抗

Rabbit Polyclonal DRP1 Antibody

  • 中文名: DRP1抗体
  • 别    名: DNM1L; DLP1; DRP1; Dynamin-1-like protein; Dnm1p/Vps1p-like protein; DVLP; Dynamin family member proline-rich carboxyl-terminal domain less; Dymple; Dynamin-like protein; Dynamin-like protein 4; Dynamin-like protein IV; HdynIV; Dynamin-rela
货号: IPDX23559
Price: ¥1180
数量:
大包装询价

验证与应用

应用及物种
WB 1/500-1/1000 Human,Mouse,Rat
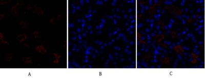
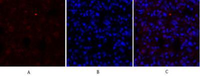
IF 咨询技术 Human,Mouse,Rat
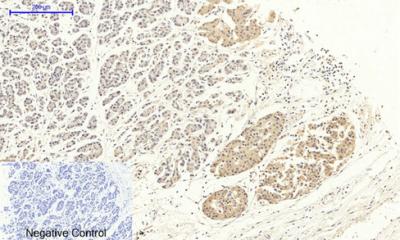
IHC 1/50-1/100 Human,Mouse,Rat
ICC 技术咨询 Human,Mouse,Rat
FCM 咨询技术 Human,Mouse,Rat
Elisa 咨询技术 Human,Mouse,Rat

产品详情

AliasesDNM1L; DLP1; DRP1; Dynamin-1-like protein; Dnm1p/Vps1p-like protein; DVLP; Dynamin family member proline-rich carboxyl-terminal domain less; Dymple; Dynamin-like protein; Dynamin-like protein 4; Dynamin-like protein IV; HdynIV; Dynamin-rela
Entrez GeneID10059
WB Predicted band sizeCalculated MW: 82 kDa; Observed MW: 82 kDa
Host/IsotypeRabbit IgG
Antibody TypePrimary antibody
StorageStore at 4°C short term. Aliquot and store at -20°C long term. Avoid freeze/thaw cycles.
Species ReactivityHuman,Mouse,Rat
ImmunogenKLH coupled human protein peptide 60-140
FormulationPurified antibody in PBS with 0.05% sodium azide,0.5%BSA and 50% glycerol.

+ +

参考文献

以下是关于DRP1抗体的3篇参考文献及其摘要概括:

---

1. **文献名称**: *Dynamin-related protein 1 (Drp1) inhibition mitigates mitochondrial fragmentation and apoptosis in neuronal injury*

**作者**: Frank S. et al.

**摘要**: 该研究探讨了Drp1在神经元线粒体分裂中的作用,通过特异性抗体检测Drp1的活性与亚细胞定位,发现抑制Drp1可减少线粒体碎片化并缓解细胞凋亡,为神经退行性疾病治疗提供新靶点。

2. **文献名称**: *Phosphorylation of Drp1 at Ser616 regulates mitochondrial fission during cellular stress*

**作者**: Cereghetti G.M. et al.

**摘要**: 研究利用Drp1抗体分析其磷酸化位点(Ser616)的调控机制,发现该位点磷酸化在细胞应激条件下促进线粒体分裂,揭示了Drp1活性与代谢疾病及癌症的潜在关联。

3. **文献名称**: *Drp1-mediated mitochondrial fission contributes to ischemic brain damage in stroke*

**作者**: Grohm J. et al.

**摘要**: 通过Western blot和免疫组化技术(使用Drp1抗体),研究证实脑缺血模型中Drp1介导的线粒体分裂导致神经元损伤,靶向Drp1可减轻脑卒中后的病理损伤。

---

以上文献均涉及Drp1抗体在机制研究中的应用,涵盖神经退行、代谢调控及缺血损伤等领域。如需具体期刊信息或发表年份,可进一步补充检索。

背景信息

The DRP1 (Dynamin-related protein 1) antibody is a crucial tool for studying mitochondrial dynamics and cellular homeostasis. DRP1. encoded by the *DNM1L* gene, is a GTPase that regulates mitochondrial fission by oligomerizing at constriction sites on the mitochondrial outer membrane, facilitating membrane scission. Its activity is tightly controlled by post-translational modifications (e.g., phosphorylation, ubiquitination) and interactions with adaptor proteins like Fis1. MFF, and MiD49/51. Dysregulation of DRP1 is linked to neurodegenerative diseases (e.g., Alzheimer’s, Parkinson’s), cancer, metabolic disorders, and cardiovascular conditions, underscoring its role in maintaining mitochondrial health and apoptosis.

DRP1 antibodies are widely used in research to detect DRP1 expression, localization, and activation states via techniques like Western blotting, immunofluorescence, and immunoprecipitation. Specific antibodies targeting phosphorylation sites (e.g., Ser616 for activation or Ser637 for inactivation) help dissect DRP1’s functional states. Studies using these antibodies have revealed how DRP1 dysfunction impacts mitochondrial fragmentation, bioenergetics, and quality control. Additionally, DRP1 inhibitors (e.g., Mdivi-1) and genetic models (knockout/knockdown) are often validated using DRP1 antibodies. Their application extends to therapeutic research, exploring DRP1 as a biomarker or target in disease contexts. Overall, DRP1 antibodies are indispensable for unraveling mitochondrial dynamics and their implications in human health and disease.

客户数据及评论

折叠内容

大包装询价

×