| WB | 1/1000-1/2000 | Human,Mouse,Rat |
| IF | 咨询技术 | Human,Mouse,Rat |
| IHC | 咨询技术 | Human,Mouse,Rat |
| ICC | 1/50-1/200 | Human,Mouse,Rat |
| FCM | 咨询技术 | Human,Mouse,Rat |
| Elisa | 咨询技术 | Human,Mouse,Rat |
| Aliases | PPARGC1A; LEM6; PGC1; PGC1A; PGC-1v; PPARGC1; PGC-1(alpha);;PGC1 alpha/beta |
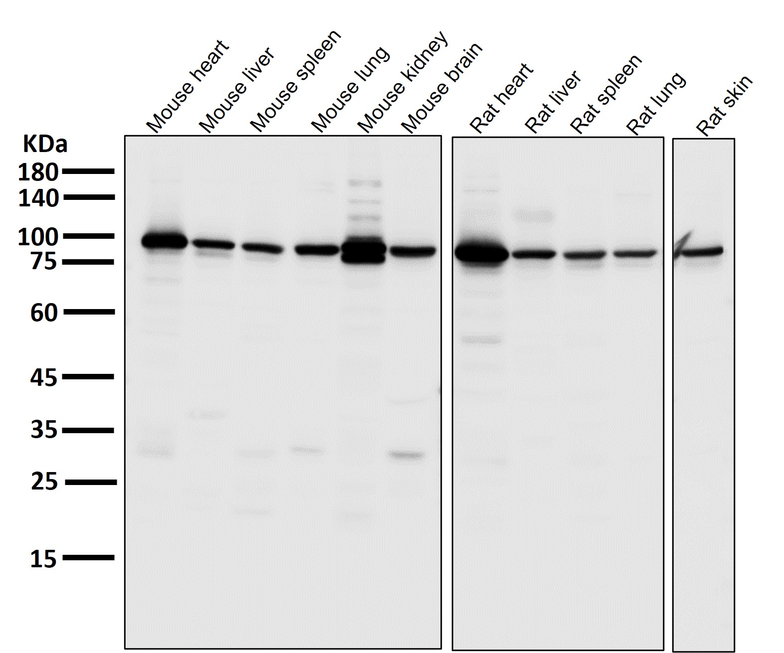
| WB Predicted band size | Calculated MW: 91,113 kDa ; Observed MW: 113 kDa |
| Host/Isotype | Rabbit IgG |
| Antibody Type | Primary antibody |
| Storage | Store at 4°C short term. Aliquot and store at -20°C long term. Avoid freeze/thaw cycles. |
| Species Reactivity | Human,Mouse,Rat |
| Immunogen | A synthesized peptide derived from human PGC1 alpha |
| Formulation | Purified antibody in PBS with 0.05% sodium azide,0.05% BSA and 50% glycerol. |
+ +
All lanes use the Antibody at 1:1000 dilution for 1 hour at room temperature.
All lanes use the Antibody at 1:1000 dilution for 1 hour at room temperature.
All lanes use the Antibody at 1:1000 dilution for 1 hour at room temperature.
Immunofluorescent analysis of hela cells using the Antibody at 1:150 dilution.
以下是关于PGC1α/β抗体的3篇代表性文献及摘要概括:
1. **文献名称**:*Transcriptional co-activator PGC-1α drives the formation of slow-twitch muscle fibres*
**作者**:Lin, J., Wu, H., Tarr, P.T., et al.
**摘要**:该研究利用PGC1α抗体证实其在骨骼肌中促进慢肌纤维生成的作用,通过Western blot和免疫组化揭示其在线粒体生物合成中的关键调控机制。
2. **文献名称**:*Mice lacking PGC-1β in adipose tissues reveal a role in adaptive thermogenesis and mitochondrial homeostasis*
**作者**:Kleiner, S., Nguyen-Tran, V., Baré, O., et al.
**摘要**:通过特异性PGC1β抗体检测,研究发现脂肪组织中PGC1β缺失导致线粒体功能异常,并影响小鼠寒冷环境下的产热适应能力。
3. **文献名称**:*Anti-PGC-1α antibody validation in metabolic stress models*
**作者**:Fernandez-Marcos, P.J., Auwerx, J.
**摘要**:该文献系统验证了PGC1α抗体在不同组织(如肝脏、肌肉)中的特异性,并证明其在能量剥夺条件下检测蛋白表达动态变化的可靠性。
如需更多文献或具体应用场景(如疾病模型),可进一步补充说明!
PGC1α (peroxisome proliferator-activated receptor gamma coactivator 1-alpha) and PGC1β are transcriptional coactivators central to mitochondrial biogenesis, energy metabolism, and adaptive thermogenesis. They regulate genes involved in oxidative phosphorylation, fatty acid oxidation, and gluconeogenesis by interacting with nuclear receptors (e.g., PPARs, ERRs) and transcription factors. PGC1α is highly expressed in tissues with high metabolic demands, such as brown adipose, skeletal muscle, and liver, while PGC1β shares overlapping functions but exhibits distinct tissue-specific roles. Both are implicated in metabolic diseases, neurodegeneration, and cancer.
Antibodies targeting PGC1α/β are essential tools for studying their expression, localization, and interactions. They enable detection via Western blot, immunofluorescence, immunohistochemistry, and co-immunoprecipitation, aiding research into metabolic regulation, mitochondrial dysfunction, and disease mechanisms. Due to structural similarities between PGC1α and PGC1β, some antibodies exhibit cross-reactivity, while others are isoform-specific. Validation using knockout controls or siRNA is critical to confirm specificity. These antibodies have advanced studies in diabetes, obesity, and aging-related disorders, highlighting their roles as metabolic master regulators. Commercial antibodies are typically raised against conserved epitopes, with reactivity across species (human, mouse, rat), but batch variability remains a consideration.
×