| WB | 1/1000-1/2000 | Human,Mouse,Rat |
| IF | 1/50-1/200 | Human,Mouse,Rat |
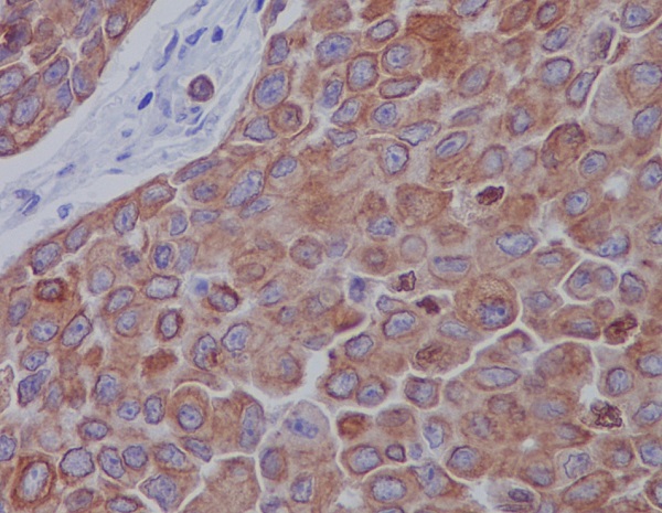
| IHC | IHC:1/100-1/200;IHF:1/50-1/200 | Human,Mouse,Rat |
| ICC | 1/50-1/200 | Human,Mouse,Rat |
| FCM | 咨询技术 | Human,Mouse,Rat |
| Elisa | 咨询技术 | Human,Mouse,Rat |
| Aliases | CMT2A2; CMT2A; CPRP1; MFN2; Hyperplasia suppressor; MARF; Mitofusin 2; HSG; Mitofusin-2;;Mitofusin 2 |
| WB Predicted band size | Calculated MW: 86 kDa ; Observed MW: 80 kDa |
| Host/Isotype | Rabbit IgG |
| Antibody Type | Primary antibody |
| Storage | Store at 4°C short term. Aliquot and store at -20°C long term. Avoid freeze/thaw cycles. |
| Species Reactivity | Human,Mouse,Rat |
| Immunogen | A synthesized peptide derived from human Mitofusin 2 |
| Formulation | Purified antibody in PBS with 0.05% sodium azide,0.05% BSA and 50% glycerol. |
+ +
All lanes use the Antibody at 1:1K dilution for 1 hour at room temperature.
All lanes use the Antibody at 1:1K dilution for 1 hour at room temperature.
Western blot analysis of Mitofusin 2 expression in (1) HeLa cell lysate; (2) Mouse kidney lysate.
Immunofluorescent analysis using the Antibody at 1:50 dilution.
Immunofluorescent analysis of Hela cells, using Mitofusin 2 Antibody.
以下是关于Mitofusin2(MFN2)抗体的3篇参考文献及其摘要概括:
1. **文献名称**:Mitofusin-2 determines mitochondrial network architecture and mitochondrial metabolism
**作者**:Santel, A., Fuller, M.T.
**摘要**:该研究通过免疫荧光和Western blot技术,利用MFN2抗体揭示了MFN2蛋白在线粒体网络形态调控中的核心作用,证明其缺失会导致线粒体碎片化并影响能量代谢。
2. **文献名称**:Mutations in the mitochondrial GTPase mitofusin 2 cause Charcot-Marie-Tooth neuropathy type 2A
**作者**:Züchner, S., et al.
**摘要**:作者通过免疫组化结合MFN2抗体,发现MFN2基因突变与腓骨肌萎缩症2A型(CMT2A)相关,突变导致线粒体融合功能异常,进而引发周围神经退化。
3. **文献名称**:Mitofusins Mfn1 and Mfn2 coordinately regulate mitochondrial fusion and are essential for embryonic development
**作者**:Chen, H., et al.
**摘要**:研究利用MFN2抗体进行基因敲除实验,证实MFN2与Mfn1协同调控线粒体融合,且两者对胚胎发育不可或缺,缺失会引发细胞凋亡和发育缺陷。
以上文献均通过MFN2抗体探究其在线粒体动力学及疾病中的功能,覆盖基础机制与临床关联研究方向。
**Background of Mitofusin2 Antibody**
Mitofusin2 (MFN2) is a mitochondrial outer membrane protein critical for regulating mitochondrial fusion, a key process in maintaining mitochondrial dynamics, morphology, and function. It belongs to the dynamin-related GTPase family and plays essential roles in energy metabolism, apoptosis, autophagy, and mitochondrial-ER interactions. MFN2 is encoded by the *MFN2* gene located on human chromosome 1p36.22. and its structural features include a highly conserved GTPase domain, heptad repeat regions, and transmembrane domains. Dysregulation or mutations in MFN2 are linked to various diseases, including Charcot-Marie-Tooth type 2A (CMT2A), diabetes, neurodegenerative disorders, and cardiovascular pathologies.
Mitofusin2 antibodies are immunological tools designed to detect and study the expression, localization, and interactions of MFN2 in cells and tissues. These antibodies are commonly used in techniques like Western blotting, immunofluorescence, and immunohistochemistry to investigate mitochondrial dynamics in physiological and pathological contexts. They are often validated for specificity using knockout cell lines or tissues to ensure accurate detection. Polyclonal and monoclonal variants are available, targeting specific epitopes within the MFN2 protein. Research utilizing MFN2 antibodies has advanced understanding of mitochondrial quality control mechanisms, metabolic regulation, and disease pathways, making them vital reagents in studies related to aging, neurodegeneration, and metabolic syndromes. Proper validation and application of these antibodies remain crucial for reliable experimental outcomes.
×