首页 / 产品 / 抗体 / 一抗

一抗

Rabbit Polyclonal HOXD12 Antibody

中文名:HOXD12抗体

Catalog:IPDX41942

Size: 50μl / 100μl

Application: WB IF IHC ICC FCM Elisa

Reactivity:Human,Mouse,Rat

Synonyms:Homeobox protein Hox-D12; Hox-4H; HOXD12; HOX4H;

Type:Primary antibody

Rabbit Polyclonal CSTF2 Antibody

中文名:CSTF2抗体

Catalog:IPDX41941

Size: 50μl / 100μl

Application: WB IF IHC ICC FCM Elisa

Reactivity:Human,Mouse,Rat

Synonyms:CF-1 64 kDa; CSTF 64 kDa; CstF-64; cleavage stimulation factor subunit 2; cleavage stimulation factor

Type:Primary antibody

Rabbit Polyclonal CIITA Antibody

中文名:CIITA抗体

Catalog:IPDX41940

Size: 50μl / 100μl

Application: WB IF IHC ICC FCM Elisa

Reactivity:Human,Mouse,Rat

Synonyms:MHC class II transactivator; CIITA; CIITA; MHC2TA;

Type:Primary antibody

Rabbit Polyclonal CD153 Antibody

中文名:CD153抗体

Catalog:IPDX41939

Size: 50μl / 100μl

Application: WB IF IHC ICC FCM Elisa

Reactivity:Human,Mouse,Rat

Synonyms:Tumor necrosis factor ligand superfamily member 8; CD30 ligand; CD30-L; CD153 antigen; TNFSF8

Type:Primary antibody

Rabbit Polyclonal TF2H1 Antibody

中文名:TF2H1抗体

Catalog:IPDX41938

Size: 50μl / 100μl

Application: WB IF IHC ICC FCM Elisa

Reactivity:Human,Mouse,Rat

Synonyms:TFIIH basal transcription factor complex p62 subunit; Basic transcription factor 62 kDa subunit; BTF2-p62; General transcription factor IIH polypeptide 1; GTF2H1

Type:Primary antibody

Rabbit Polyclonal ELF1 Antibody

中文名:ELF1抗体

Catalog:IPDX41937

Size: 50μl / 100μl

Application: WB IF IHC ICC FCM Elisa

Reactivity:Human,Mouse,Rat

Synonyms:E74-like factor 1; ELF1; ETS-related transcription factor Elf-1;

Type:Primary antibody

Rabbit Polyclonal GLPK Antibody

中文名:GLPK抗体

Catalog:IPDX41936

Size: 50μl / 100μl

Application: WB IF IHC ICC FCM Elisa

Reactivity:Human,Mouse,Rat

Synonyms:Glycerol kinase; EC 2.7.1.30; ATP:glycerol 3-phosphotransferase; Glycerokinase; GKl

Type:Primary antibody

Rabbit Polyclonal TF2E2 Antibody

中文名:TF2E2抗体

Catalog:IPDX41934

Size: 50μl / 100μl

Application: WB IF IHC ICC FCM Elisa

Reactivity:Human,Mouse,Rat

Synonyms:GTF2E2; T2EB; TF2E2; Transcription initiation factor IIE beta subunit;

Type:Primary antibody

Rabbit Polyclonal MZF-1 Antibody

中文名:MZF-1抗体

Catalog:IPDX41933

Size: 50μl / 100μl

Application: WB IF IHC ICC FCM Elisa

Reactivity:Human,Mouse,Rat

Synonyms:Myeloid zinc finger 1; MZF-1; Zinc finger protein 42; Zinc finger and SCAN domain-containing protein 6; MZF1

Type:Primary antibody

Rabbit Polyclonal TEAD1 Antibody

中文名:TEAD1抗体

Catalog:IPDX41932

Size: 50μl / 100μl

Application: WB IF IHC ICC FCM Elisa

Reactivity:Human,Mouse,Rat

Synonyms:AA; atrophia areata; peripapillary chorioretinal degeneration; NTEF-1; Protein GT-IIC

Type:Primary antibody

Rabbit Polyclonal ITPKB Antibody

中文名:ITPKB抗体

Catalog:IPDX41931

Size: 50μl / 100μl

Application: WB IF IHC ICC FCM Elisa

Reactivity:Human,Mouse,Rat

Synonyms:Inositol 1; 4; 5-trisphosphate 3-kinase B; Inositol-trisphosphate 3-kinase B; InsP 3-kinase B

Type:Primary antibody

Rabbit Polyclonal ARBK1 Antibody

中文名:ARBK1抗体

Catalog:IPDX41930

Size: 50μl / 100μl

Application: WB IF IHC ICC FCM Elisa

Reactivity:Human,Mouse,Rat

Synonyms:ADRBK1; ARBK1; BARK; BARK1; Beta-ARK-1

Type:Primary antibody

Rabbit Polyclonal DGKA Antibody

中文名:DGKA抗体

Catalog:IPDX41929

Size: 50μl / 100μl

Application: WB IF IHC ICC FCM Elisa

Reactivity:Human,Mouse,Rat

Synonyms:80 kDa diacylglycerol kinase; DAG kinase alpha; DAGK; DAGK1; DGK- alpha

Type:Primary antibody

Rabbit Polyclonal EPHA1 Antibody

中文名:EPHA1抗体

Catalog:IPDX41926

Size: 50μl / 100μl

Application: WB IF IHC ICC FCM Elisa

Reactivity:Human,Mouse,Rat

Synonyms:EC 2.7.10.1; EPA1; EPH; EPHT; EPHT1

Type:Primary antibody

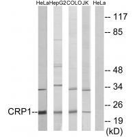
Rabbit Polyclonal CRP1 Antibody

中文名:CRP1抗体

Catalog:IPDX41924

Size: 50μl / 100μl

Application: WB IF IHC ICC FCM Elisa

Reactivity:Human,Mouse,Rat

Synonyms:CRP; CRP1; CSRP; CYRP; cysteine and glycine-rich 1

Type:Primary antibody

Rabbit Polyclonal ATF3 Antibody

中文名:ATF3抗体

Catalog:IPDX41920

Size: 50μl / 100μl

Application: WB IF IHC ICC FCM Elisa

Reactivity:Human,Mouse,Rat

Synonyms:Cyclic AMP-dependent transcription factor ATF-3; Activating transcription factor 3; ATF3;

Type:Primary antibody

Rabbit Polyclonal AdrenergicReceptorα-2C Antibody

中文名:Adrenergic Receptor α-2C抗体

Catalog:IPDX41919

Size: 50μl / 100μl

Application: WB IF IHC ICC FCM Elisa

Reactivity:Human,Mouse,Rat

Synonyms:Alpha-2C adrenergic receptor; Alpha-2C adrenoceptor; Alpha-2C adrenoreceptor; Alpha-2 adrenergic receptor subtype C4; ADRA2C

Type:Primary antibody

Rabbit Polyclonal AdrenergicReceptoralpha-2B Antibody

中文名:Adrenergic Receptor alpha-2B抗体

Catalog:IPDX41918

Size: 50μl / 100μl

Application: WB IF IHC ICC FCM Elisa

Reactivity:Human,Mouse,Rat

Synonyms:ADA2B; ADRA2L1; ADRA2RL1; ADRARL1; ALPHA2BAR

Type:Primary antibody

Rabbit Polyclonal K6PL Antibody

中文名:K6PL抗体

Catalog:IPDX41917

Size: 50μl / 100μl

Application: WB IF IHC ICC FCM Elisa

Reactivity:Human,Mouse,Rat

Synonyms:6-phosphofructokinase; liver type; EC 2.7.1.11; K6PL; PFK-B

Type:Primary antibody

Rabbit Polyclonal ZNF23 Antibody

中文名:ZNF23抗体

Catalog:IPDX41913

Size: 50μl / 100μl

Application: WB IF IHC ICC FCM Elisa

Reactivity:Human,Mouse,Rat

Synonyms:Zinc finger protein 23; Zinc finger protein 359; Zinc finger protein KOX16; ZNF23; KOX16

Type:Primary antibody