首页 / 产品 / 抗体 / 一抗

一抗

Rabbit Polyclonal PIAS2 Antibody

中文名:PIAS2抗体

Catalog:IPDX41841

Size: 50μl / 100μl

Application: WB IF IHC ICC FCM Elisa

Reactivity:Human,Mouse,Rat

Synonyms:ARIP3; Androgen receptor-interacting protein 3; DAB2-interacting protein; DIP; Miz1

Type:Primary antibody

Rabbit Polyclonal NCoR1 Antibody

中文名:NCoR1抗体

Catalog:IPDX41840

Size: 50μl / 100μl

Application: WB IF IHC ICC FCM Elisa

Reactivity:Human,Mouse,Rat

Synonyms:KIAA1047; N-CoR1;

Type:Primary antibody

Rabbit Polyclonal EDD Antibody

中文名:EDD抗体

Catalog:IPDX41839

Size: 50μl / 100μl

Application: WB IF IHC ICC FCM Elisa

Reactivity:Human,Mouse,Rat

Synonyms:CAK; CD167a antigen; Cell adhesion kinase; Discoidin receptor tyrosine kinase; EC 2.7.1.112

Type:Primary antibody

Rabbit Polyclonal CD4 Antibody

中文名:CD4抗体

Catalog:IPDX41838

Size: 50μl / 100μl

Application: WB IF IHC ICC FCM Elisa

Reactivity:Human,Mouse,Rat

Synonyms:B-cell surface antigen CD40; Bp50; CD40 antigen; CD40L receptor; CDw40

Type:Primary antibody

Rabbit Polyclonal ThyroidHormoneReceptorα Antibody

中文名:Thyroid Hormone Receptor α抗体

Catalog:IPDX41837

Size: 50μl / 100μl

Application: WB IF IHC ICC FCM Elisa

Reactivity:Human,Mouse,Rat

Synonyms:C-erbA-alpha; EAR-7; EAR7; ERBA1; NR1A1

Type:Primary antibody

Rabbit Polyclonal SodiumChannel-pan Antibody

中文名:Sodium Channel-pan抗体

Catalog:IPDX41835

Size: 50μl / 100μl

Application: WB IF IHC ICC FCM Elisa

Reactivity:Human,Mouse,Rat

Synonyms:CIN5; HH1; SCN5A; Sodium channel protein; cardiac muscle alpha-subunit

Type:Primary antibody

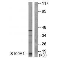
Rabbit Polyclonal S10A1 Antibody

中文名:S10A1抗体

Catalog:IPDX41834

Size: 50μl / 100μl

Application: WB IF IHC ICC FCM Elisa

Reactivity:Human,Mouse,Rat

Synonyms:S100-ALPHA ; S100 CALCIUM-BINDING PROTEIN A1;

Type:Primary antibody

Rabbit Polyclonal RIT1 Antibody

中文名:RIT1抗体

Catalog:IPDX41833

Size: 50μl / 100μl

Application: WB IF IHC ICC FCM Elisa

Reactivity:Human,Mouse,Rat

Synonyms:GTP-binding protein Rit1; Ras-like protein expressed in many tissues; Ras-like without CAAX protein 1; RIBB; RIT

Type:Primary antibody

Rabbit Polyclonal RetinoidXReceptorγ Antibody

中文名:Retinoid X Receptor γ抗体

Catalog:IPDX41832

Size: 50μl / 100μl

Application: WB IF IHC ICC FCM Elisa

Reactivity:Human,Mouse,Rat

Synonyms:RXRC; retinoid X receptor gamma;

Type:Primary antibody

Rabbit Polyclonal RCC1 Antibody

中文名:RCC1抗体

Catalog:IPDX41830

Size: 50μl / 100μl

Application: WB IF IHC ICC FCM Elisa

Reactivity:Human,Mouse,Rat

Synonyms:CHC1; Cell cycle regulatory protein; Regulator of chromosome condensation;

Type:Primary antibody

Rabbit Polyclonal PotassiumChannelKv3.2b Antibody

中文名:Potassium Channel Kv3.2b抗体

Catalog:IPDX41829

Size: 50μl / 100μl

Application: WB IF IHC ICC FCM Elisa

Reactivity:Human,Mouse,Rat

Synonyms:POTASSIUM CHANNEL; VOLTAGE-GATED; SHAW-RELATED SUBFAMILY; MEMBER 2;

Type:Primary antibody

Rabbit Polyclonal PDGFRα Antibody

中文名:PDGFR α抗体

Catalog:IPDX41828

Size: 50μl / 100μl

Application: WB IF IHC ICC FCM Elisa

Reactivity:Human,Mouse,Rat

Synonyms:Alpha platelet-derived growth factor receptor precursor; CD140a; PDGF-R-alpha; PDGFR-alpha; PGFRA

Type:Primary antibody

Rabbit Polyclonal Cyclin-L1 Antibody

中文名:Cyclin-L1抗体

Catalog:IPDX41827

Size: 50μl / 100μl

Application: WB IF IHC ICC FCM Elisa

Reactivity:Human,Mouse,Rat

Synonyms:Cyclin-L; CCNL1;

Type:Primary antibody

Rabbit Polyclonal p14ARF Antibody

中文名:p14 ARF抗体

Catalog:IPDX41826

Size: 50μl / 100μl

Application: WB IF IHC ICC FCM Elisa

Reactivity:Human,Mouse,Rat

Synonyms:CDK4I; CMM2; MLM; MTS1; TP16

Type:Primary antibody

Rabbit Polyclonal 45202 Antibody

中文名:45202抗体

Catalog:IPDX41825

Size: 50μl / 100μl

Application: WB IF IHC ICC FCM Elisa

Reactivity:Human,Mouse,Rat

Synonyms:41915; OCT4; OTF3; OTF4; OCTAMER-BINDING TRANSCRIPTION FACTOR 3

Type:Primary antibody

Rabbit Polyclonal NKX3.1 Antibody

中文名:NKX3.1抗体

Catalog:IPDX41824

Size: 50μl / 100μl

Application: WB IF IHC ICC FCM Elisa

Reactivity:Human,Mouse,Rat

Synonyms:Homeobox protein Nkx-3.1; NKX31; NKX3A;

Type:Primary antibody

Rabbit Polyclonal MART-1 Antibody

中文名:MART-1抗体

Catalog:IPDX41820

Size: 50μl / 100μl

Application: WB IF IHC ICC FCM Elisa

Reactivity:Human,Mouse,Rat

Synonyms:MART-1; MART1; melan-A; MELAN A; MELANOMA ANTIGEN RECOGNIZED BY T CELLS 1

Type:Primary antibody

Rabbit Polyclonal Mammaglobin Antibody

中文名:Mammaglobin抗体

Catalog:IPDX41818

Size: 50μl / 100μl

Application: WB IF IHC ICC FCM Elisa

Reactivity:Human,Mouse,Rat

Synonyms:MGB1; MAMMAGLOBIN 1; secretoglobin; family 2A; member 2

Type:Primary antibody

Rabbit Polyclonal iNOS Antibody

中文名:iNOS抗体

Catalog:IPDX41817

Size: 50μl / 100μl

Application: WB IF IHC ICC FCM Elisa

Reactivity:Human,Mouse,Rat

Synonyms:NITRIC OXIDE SYNTHASE; INDUCIBLE; NITRIC OXIDE SYNTHASE; MACROPHAGE; NOS2A

Type:Primary antibody

Rabbit Polyclonal Ki67 Antibody

中文名:Ki67抗体

Catalog:IPDX41816

Size: 50μl / 100μl

Application: WB IF IHC ICC FCM Elisa

Reactivity:Human,Mouse,Rat

Synonyms:Antigen KI-67; MKI67;

Type:Primary antibody