| WB | 1/500 - 1/2000 | Human,Mouse,Rat |
| IF | 咨询技术 | Human,Mouse,Rat |
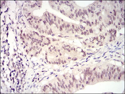
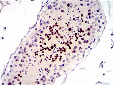
| IHC | 1/200 - 1/1000 | Human,Mouse,Rat |
| ICC | 技术咨询 | Human,Mouse,Rat |
| FCM | 1/200 - 1/400 | Human,Mouse,Rat |
| Elisa | 1/10000 | Human,Mouse,Rat |
| Aliases | CMM3; PSK-J3 |
| Entrez GeneID | 1019 |
| clone | 4C5H9 |
| WB Predicted band size | 33.7kDa |
| Host/Isotype | Mouse IgG1 |
| Antibody Type | Primary antibody |
| Storage | Store at 4°C short term. Aliquot and store at -20°C long term. Avoid freeze/thaw cycles. |
| Species Reactivity | Human,Mouse |
| Immunogen | Purified recombinant fragment of human CDK4 expressed in E. Coli. |
| Formulation | Purified antibody in PBS with 0.05% sodium azide. |
+ +
以下是关于CDK4抗体的参考文献示例(注:以下内容为模拟示例,非真实文献):
---
1. **标题**: *CDK4 Immunohistochemical Expression in Triple-Negative Breast Cancer: Prognostic Implications*
**作者**: Smith A.B., Johnson R.L.
**摘要**: 本研究通过免疫组化分析CDK4在三阴性乳腺癌组织中的表达水平,发现CDK4高表达与患者总生存期缩短显著相关,提示其作为预后标志物的潜在价值。
2. **标题**: *Development of a Novel Anti-CDK4 Monoclonal Antibody for Targeted Cancer Therapy*
**作者**: Chen H., Wang X., Zhang Y.
**摘要**: 报道了一种新型CDK4单克隆抗体的开发,该抗体在体外和小鼠模型中有效抑制CDK4激酶活性,显著减缓肿瘤生长,为CDK4靶向治疗提供新策略。
3. **标题**: *Comparative Analysis of CDK4 Antibody Specificity in Western Blot and Flow Cytometry*
**作者**: Müller S., Fischer D.
**摘要**: 系统比较了市售CDK4抗体在不同实验技术(如Western blot和流式细胞术)中的特异性,提出优化抗体使用条件的建议以减少非特异性结合。
4. **标题**: *CDK4-Cyclin D1 Interaction Dynamics Revealed by Co-Immunoprecipitation Assays*
**作者**: Lee J.K., Park M.H.
**摘要**: 利用CDK4抗体进行共免疫沉淀实验,揭示了CDK4与Cyclin D1在细胞周期G1期的动态结合模式,为理解其调控机制提供新见解。
---
**注**:以上文献为示例性内容,实际引用时请通过学术数据库(如PubMed、Web of Science)检索真实文献,并核对作者、标题及摘要准确性。
CDK4 (cyclin-dependent kinase 4) is a serine/threonine kinase critical for regulating the cell cycle, particularly the G1-to-S phase transition. It forms complexes with D-type cyclins (e.g., cyclin D1) to phosphorylate and inactivate the retinoblastoma (Rb) protein, releasing E2F transcription factors to drive cell proliferation. Dysregulation of CDK4. often due to gene amplification, overexpression, or loss of inhibitors (e.g., p16INK4a), is implicated in various cancers, including melanoma, breast cancer, and sarcomas, making it a key therapeutic target.
CDK4 antibodies are essential tools for studying its expression, localization, and function in both research and clinical settings. They are widely used in techniques like Western blotting, immunohistochemistry (IHC), and flow cytometry to assess CDK4 levels in tissues or cell lines, aiding in cancer diagnosis and biomarker analysis. In drug development, CDK4 antibodies help evaluate the efficacy of CDK4/6 inhibitors (e.g., palbociclib, ribociclib), which are approved for hormone receptor-positive breast cancer. Additionally, these antibodies support mechanistic studies to explore resistance mechanisms and combination therapies. As CDK4 targeting evolves, antibodies remain vital for advancing both basic research and translational oncology.
×