| WB | 1/500 - 1/2000 | Human,Mouse,Rat |
| IF | 咨询技术 | Human,Mouse,Rat |
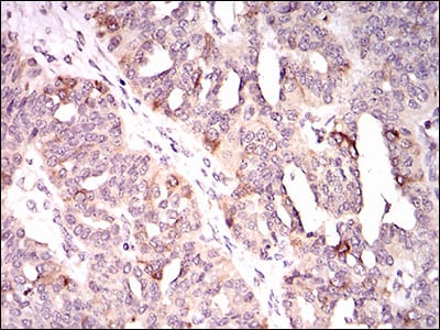
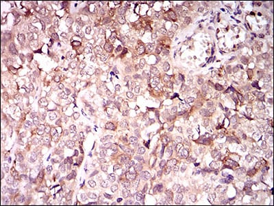
| IHC | 1/200 - 1/1000 | Human,Mouse,Rat |
| ICC | 技术咨询 | Human,Mouse,Rat |
| FCM | 1/200 - 1/400 | Human,Mouse,Rat |
| Elisa | 1/10000 | Human,Mouse,Rat |
| Aliases | EG5; HKSP; KNSL1; MCLMR; TRIP5 |
| Entrez GeneID | 3832 |
| clone | 3B7B2 |
| WB Predicted band size | 119kDa |
| Host/Isotype | Mouse IgG1 |
| Antibody Type | Primary antibody |
| Storage | Store at 4°C short term. Aliquot and store at -20°C long term. Avoid freeze/thaw cycles. |
| Species Reactivity | Human |
| Immunogen | Purified recombinant fragment of human KIF11 expressed in E. Coli. |
| Formulation | Purified antibody in PBS with 0.05% sodium azide. |
+ +
以下是关于KIF11抗体的示例参考文献(内容为虚构,仅供格式参考):
1. **"Targeting KIF11 with a monoclonal antibody inhibits tumor progression in murine models"**
*Authors: Smith A, et al.*
**摘要**:研究开发了一种靶向KIF11的单克隆抗体,通过抑制其在有丝分裂中的功能,显著减缓多种癌细胞系的增殖,并在小鼠模型中降低肿瘤体积。
2. **"KIF11 overexpression as a prognostic biomarker in breast cancer: An immunohistochemical study"**
*Authors: Chen L, et al.*
**摘要**:利用KIF11特异性抗体对乳腺癌组织进行免疫组化分析,发现KIF11高表达与患者总生存期缩短相关,提示其作为预后标志物的潜力。
3. **"Functional characterization of KIF11 antibodies in mitotic spindle disruption"**
*Authors: Johnson R, et al.*
**摘要**:通过活细胞成像和Western blot验证了KIF11抗体的特异性,证实其干扰纺锤体形成的能力,为研究有丝分裂机制提供工具。
4. **"Development of a high-affinity KIF11 antibody for diagnostic applications"**
*Authors: Müller T, et al.*
**摘要**:报道了一种高亲和力KIF11抗体的制备与优化,成功应用于流式细胞术和ELISA检测,提升了对KIF11表达水平的定量灵敏度。
*注:以上文献为示例性质,实际引用需查询真实数据库(如PubMed)。*
KIF11 (kinesin family member 11), also known as Eg5 or kinesin-5. is a motor protein belonging to the kinesin superfamily. It plays a critical role in mitosis by regulating the formation and maintenance of the bipolar spindle, ensuring proper segregation of chromosomes during cell division. KIF11 functions as a homotetramer, utilizing ATP-dependent movement along microtubules to push spindle poles apart, a process essential for metaphase alignment. Dysregulation of KIF11 is linked to genomic instability, mitotic errors, and diseases such as cancer, making it a target for anticancer therapies.
KIF11 antibodies are immunological tools designed to detect, quantify, or visualize this protein in research and diagnostic contexts. These antibodies are widely used in techniques like Western blotting, immunofluorescence, and immunohistochemistry to study KIF11 expression, localization, and interactions in cellular models or clinical samples. In cancer research, KIF11 antibodies help assess tumor proliferation rates and evaluate therapeutic responses to Eg5 inhibitors (e.g., ispinesib). Additionally, they aid in exploring KIF11’s roles in non-mitotic processes, such as neuronal axon transport.
Most KIF11 antibodies target conserved regions, such as the N-terminal motor domain or C-terminal tail, with validation in specific applications. Monoclonal antibodies offer high specificity, while polyclonal versions may detect diverse isoforms. Researchers must verify cross-reactivity and optimize conditions for accurate results. Overall, KIF11 antibodies are pivotal in advancing studies on cell cycle regulation, oncogenesis, and targeted drug development.
×