首页 / 产品 / 抗体 / 一抗

Mouse Monoclonal eNOS Antibody

  • 中文名: eNOS抗体
  • 别    名: ECNOS; NOS3
货号: IPD20397
Price: ¥1280
数量:
大包装询价

验证与应用

应用及物种
WB 咨询技术 Human,Mouse,Rat
IF 咨询技术 Human,Mouse,Rat
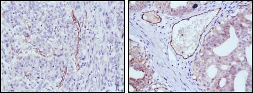
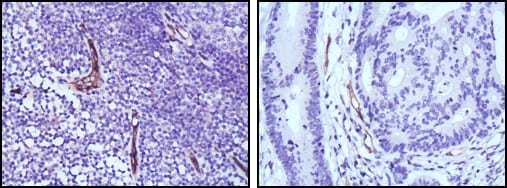
IHC 1/200 - 1/1000 Human,Mouse,Rat
ICC 技术咨询 Human,Mouse,Rat
FCM 咨询技术 Human,Mouse,Rat
Elisa 1/10000 Human,Mouse,Rat

产品详情

AliasesECNOS; NOS3
Entrez GeneID4846
clone6H2
WB Predicted band size133kDa
Host/IsotypeMouse IgG1
Antibody TypePrimary antibody
StorageStore at 4°C short term. Aliquot and store at -20°C long term. Avoid freeze/thaw cycles.
Species ReactivityHuman
ImmunogenPurified recombinant fragment of human eNOS expressed in E. Coli.
FormulationPurified antibody in PBS with 0.05% sodium azide.

+ +

参考文献

以下是3篇关于eNOS抗体的代表性文献及其摘要概括:

---

1. **文献名称**: *"Endothelial nitric oxide synthase: a determinant of endothelial homeostasis in disease"*

**作者**: Sessa WC et al.

**摘要**: 探讨eNOS在内皮功能调控中的作用,研究使用特异性抗体检测eNOS蛋白表达及定位,揭示其在动脉粥样硬化中因表达失衡导致的血管功能障碍机制。

2. **文献名称**: *"Regulation of endothelial nitric oxide synthase: location, location, location"*

**作者**: Shaul PW et al.

**摘要**: 通过免疫印迹和免疫荧光技术,利用eNOS抗体分析其亚细胞定位(如细胞膜小窝区),发现其空间分布变化影响一氧化氮生成,与心血管疾病密切相关。

3. **文献名称**: *"eNOS phosphorylation in endothelial cells: mechanisms and functional implications"*

**作者**: Förstermann U et al.

**摘要**: 研究eNOS磷酸化修饰的检测方法,采用特异性磷酸化抗体(如Ser1177位点),揭示血流剪切力等刺激通过激活Akt通路增强eNOS活性,进而调控血管舒张。

---

(注:以上文献为领域内经典研究方向示例,实际引用时请核对具体文献的标题及作者信息。)

背景信息

Endothelial nitric oxide synthase (eNOS) antibodies are essential tools for studying the expression, regulation, and function of eNOS, a key enzyme encoded by the *NOS3* gene. eNOS, primarily expressed in vascular endothelial cells, catalyzes the production of nitric oxide (NO), a critical signaling molecule involved in vasodilation, blood pressure regulation, and vascular homeostasis. Dysregulation of eNOS activity or expression is linked to cardiovascular diseases, including hypertension, atherosclerosis, and diabetes-related vascular complications. eNOS antibodies are widely used in biomedical research to detect eNOS protein levels via techniques like Western blotting, immunohistochemistry, and immunofluorescence. These antibodies help identify eNOS localization in tissues, assess post-translational modifications (e.g., phosphorylation at Ser1177 or Thr495), and study interactions with regulatory proteins. Polyclonal and monoclonal eNOS antibodies are available, often raised against specific epitopes in human or murine eNOS. Researchers also utilize these antibodies to explore eNOS dysfunction in disease models, evaluate therapeutic interventions, and validate genetic knockout models. However, specificity validation (e.g., using knockout controls) is critical due to potential cross-reactivity with other NOS isoforms (nNOS, iNOS). Overall, eNOS antibodies remain indispensable for unraveling the enzyme's role in vascular biology and pathophysiology.

客户数据及评论

折叠内容

大包装询价

×