首页 / 产品 / 抗体 / 一抗

Mouse Monoclonal FOXA2 Antibody

  • 中文名: FOXA2抗体
  • 别    名: HNF3B; TCF3B; MGC19807
货号: IPD20375
Price: ¥1280
数量:
大包装询价

验证与应用

应用及物种
WB 1/500 - 1/2000 Human,Mouse,Rat
IF 咨询技术 Human,Mouse,Rat
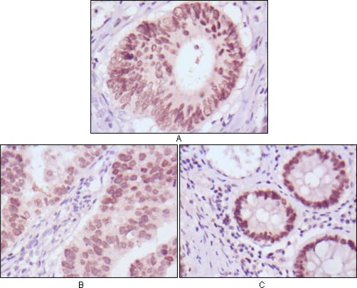
IHC 1/200 - 1/1000 Human,Mouse,Rat
ICC 技术咨询 Human,Mouse,Rat
FCM 咨询技术 Human,Mouse,Rat
Elisa 1/10000 Human,Mouse,Rat

产品详情

AliasesHNF3B; TCF3B; MGC19807
Entrez GeneID3170
clone7H4B7
WB Predicted band size48kDa
Host/IsotypeMouse IgG1
Antibody TypePrimary antibody
StorageStore at 4°C short term. Aliquot and store at -20°C long term. Avoid freeze/thaw cycles.
Species ReactivityHuman
ImmunogenPurified recombinant fragment of FOXA2 expressed in E. Coli.
FormulationPurified antibody in PBS with 0.05% sodium azide.

+ +

客户数据及评论

折叠内容

大包装询价

×