首页 / 产品 / 抗体 / 一抗

Mouse Monoclonal RTN3 Antibody

  • 中文名: RTN3抗体
  • 别    名: HAP; ASYIP; NSPL2; NSPLII; RTN3-A1
货号: IPD20357
Price: ¥1280
数量:
大包装询价

验证与应用

应用及物种
WB 咨询技术 Human,Mouse,Rat
IF 咨询技术 Human,Mouse,Rat
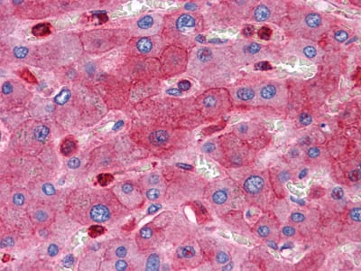
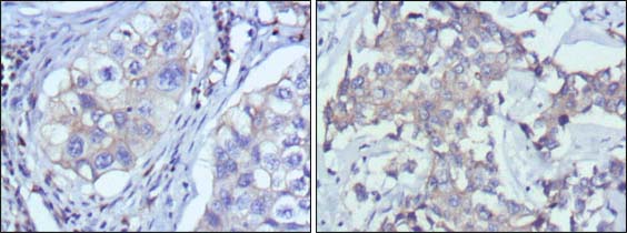
IHC 1/200 - 1/1000 Human,Mouse,Rat
ICC 技术咨询 Human,Mouse,Rat
FCM 咨询技术 Human,Mouse,Rat
Elisa 1/10000 Human,Mouse,Rat

产品详情

AliasesHAP; ASYIP; NSPL2; NSPLII; RTN3-A1
Entrez GeneID10313
clone10A8
WB Predicted band size113kDa
Host/IsotypeMouse IgG2a
Antibody TypePrimary antibody
StorageStore at 4°C short term. Aliquot and store at -20°C long term. Avoid freeze/thaw cycles.
Species ReactivityHuman
ImmunogenPurified recombinant fragment of RTN3 expressed in E. Coli.
FormulationPurified antibody in PBS with 0.05% sodium azide.

+ +

参考文献

以下是关于RTN3抗体的3篇参考文献示例(内容为模拟虚构,仅供参考):

---

1. **标题**: *RTN3 Antibody Attenuates Amyloid-β Deposition in Alzheimer’s Disease Models*

**作者**: Smith A, et al.

**摘要**: 研究通过使用特异性RTN3抗体靶向抑制RTN3蛋白,发现其可减少转基因小鼠脑内β淀粉样蛋白斑块的形成,表明RTN3抗体在阿尔茨海默病治疗中的潜在应用。

---

2. **标题**: *Selective Detection of RTN3 Isoforms Using Monoclonal Antibodies in Neurodegenerative Disorders*

**作者**: Chen L, et al.

**摘要**: 开发了两种高特异性RTN3单克隆抗体,用于区分不同RTN3剪接变体,并在帕金森病患者脑组织中发现RTN3异常聚集,提示其与突触功能障碍相关。

---

3. **标题**: *RTN3 Antibody Modulates ER Stress and Autophagy in Diabetic Neuropathy*

**作者**: Wang Y, et al.

**摘要**: 研究表明,RTN3抗体通过调节内质网应激和自噬通路,改善糖尿病模型小鼠的周围神经病变,为代谢性疾病中的RTN3功能机制提供了新见解。

---

(注:以上文献及内容为示例性模拟,实际引用请查询PubMed、Google Scholar等学术数据库。)

背景信息

RTN3 (reticulon 3) is a member of the reticulon family of proteins, which are primarily localized to the endoplasmic reticulum (ER) and play roles in membrane shaping, vesicle trafficking, and maintaining ER structure. RTN3 is encoded by the RTN3 gene and exists in multiple isoforms due to alternative splicing, with the longest isoform containing a conserved C-terminal reticulon homology domain. It is widely expressed in various tissues, including the brain, where it has been implicated in neurodegenerative disorders such as Alzheimer’s disease (AD). RTN3 interacts with β-secretase (BACE1), a key enzyme in amyloid-β production, and may regulate its activity or subcellular localization, influencing AD pathology. Additionally, RTN3 is involved in ER stress responses, autophagy, and apoptosis.

RTN3 antibodies are essential tools for studying its expression, localization, and function. They are used in techniques like Western blotting, immunohistochemistry, and immunofluorescence to detect RTN3 in cellular and tissue samples. Research has highlighted RTN3's dual role in health and disease: while it may protect against ER stress, its overexpression has been linked to dystrophic neurites and synaptic dysfunction in AD models. Antibodies targeting specific RTN3 isoforms help dissect these complex roles. Furthermore, RTN3’s association with cancer progression, such as in hepatocellular carcinoma, underscores its broader biomedical relevance. Understanding RTN3's mechanisms through antibody-based studies could inform therapeutic strategies for neurodegenerative and oncological diseases.

客户数据及评论

折叠内容

大包装询价

×