| WB | 咨询技术 | Human,Mouse,Rat |
| IF | 咨询技术 | Human,Mouse,Rat |
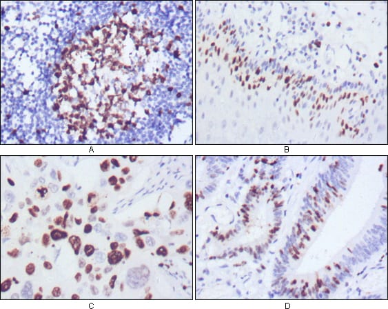
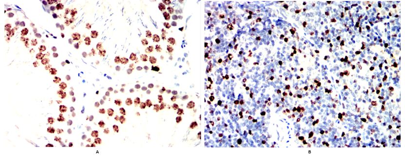
| IHC | 1/100 - 1/500 | Human,Mouse,Rat |
| ICC | 1/50 - 1/500 | Human,Mouse,Rat |
| FCM | 咨询技术 | Human,Mouse,Rat |
| Elisa | 1/10000 | Human,Mouse,Rat |
| Aliases | KIA; Ki-67; MKI67 |
| Entrez GeneID | 4288 |
| clone | 4A1 |
| WB Predicted band size | 358kDa |
| Host/Isotype | Mouse IgG2b |
| Antibody Type | Primary antibody |
| Storage | Store at 4°C short term. Aliquot and store at -20°C long term. Avoid freeze/thaw cycles. |
| Species Reactivity | Human,Mouse,Rat,Rabbit,Monkey |
| Immunogen | Synthetic peptide corresponding to aa (CEDLAGFKELFQTPG) of human KI67, conjugated to KLH. |
| Formulation | Purified antibody in PBS with 0.05% sodium azide. |
+ +
以下是3篇关于KI67抗体的参考文献摘要概括:
1. **"The Ki-67 protein: from the known and the unknown"**
- **作者**: Scholzen T, Gerdes J (2000)
- **摘要**: 系统综述了Ki-67蛋白的结构、功能及其在细胞增殖研究中的应用,强调其在肿瘤诊断和预后评估中的价值,并讨论了不同抗体克隆检测的差异。
2. **"Ki-67 in Breast Cancer: Prognostic and Predictive Potential"**
- **作者**: Yerushalmi R et al. (2010)
- **摘要**: 比较了不同克隆号(如MIB-1、SP6)的Ki-67抗体在乳腺癌中的一致性,发现不同抗体检测结果高度相关,但标准化阈值仍待统一。
3. **"Standardization of Ki-67 Assessment in Breast Cancer: A Practical Approach"**
- **作者**: Enosi Tuipulotu D et al. (2021)
- **摘要**: 提出优化Ki-67免疫组化染色的标准化流程,包括抗体选择(如MIB-1克隆)、染色条件及评分方法,以减少实验室间结果差异。
4. **"Ki-67 as a controversial predictive and prognostic marker in breast cancer"**
- **作者**: Inwald EC et al. (2013)
- **摘要**: 探讨Ki-67在乳腺癌预后预测中的争议性,强调抗体克隆、染色技术和评分标准对结果的影响,并建议多中心协作验证其临床适用性。
以上文献涵盖Ki-67抗体的生物学特性、技术比较及临床应用挑战。
The KI67 antibody targets the KI67 protein, a well-established marker of cellular proliferation. Discovered in 1983 by Gerdes et al., the protein's name originates from its identification in the **K**iel University laboratory and the **67**th clone analyzed. KI67 is a large nuclear protein (~395 kDa) expressed in all active phases of the cell cycle (G1. S, G2. M) but absent in quiescent (G0) cells, making it a reliable indicator of proliferating cells. Its function remains incompletely understood but is linked to ribosomal RNA synthesis and chromatin organization during mitosis.
In clinical and research settings, KI67 antibodies (e.g., clones MIB-1. SP6) are widely used in immunohistochemistry (IHC) to assess tumor proliferation rates. High KI67 expression correlates with aggressive tumor behavior, poor prognosis, and treatment response in cancers such as breast carcinoma, lymphoma, and neuroendocrine tumors. It also aids in grading tumors (e.g., grading neuroendocrine neoplasms) and distinguishing between benign and malignant lesions. However, interpretation challenges arise due to intratumoral heterogeneity, variability in staining protocols, and lack of standardized scoring thresholds.
KI67's dynamic expression pattern and technical reproducibility limitations have spurred interest in complementary proliferation markers (e.g., PCNA, pH3). Despite these issues, KI67 remains a cornerstone in oncology for prognostication and research into cell cycle dynamics and tissue regeneration.
×