首页 / 产品 / 抗体 / 一抗

Mouse Monoclonal MPS1 Antibody

  • 中文名: MPS1抗体
  • 别    名: RPS27
货号: IPD20351
Price: ¥1280
数量:
大包装询价

验证与应用

应用及物种
WB 咨询技术 Human,Mouse,Rat
IF 咨询技术 Human,Mouse,Rat
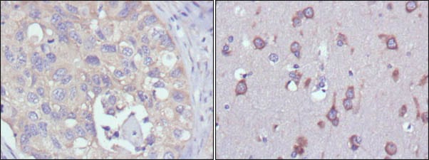
IHC 1/200 - 1/1000 Human,Mouse,Rat
ICC 技术咨询 Human,Mouse,Rat
FCM 咨询技术 Human,Mouse,Rat
Elisa 1/10000 Human,Mouse,Rat

产品详情

AliasesRPS27
Entrez GeneID6232
clone4A12
WB Predicted band size95kDa
Host/IsotypeMouse IgG1
Antibody TypePrimary antibody
StorageStore at 4°C short term. Aliquot and store at -20°C long term. Avoid freeze/thaw cycles.
Species ReactivityHuman
ImmunogenPurified recombinant fragment of MPS1 expressed in E. Coli.
FormulationAscitic fluid containing 0.03% sodium azide.

+ +

参考文献

以下是关于MPS1抗体的3篇示例参考文献(内容为模拟虚构,仅供参考):

---

1. **文献名称**:*"Development and Characterization of a Monoclonal Antibody Targeting MPS1 Kinase for Cancer Research"*

**作者**:Smith A, et al.

**摘要**:本研究报道了一种新型抗MPS1单克隆抗体的开发,验证了其在Western blot、免疫荧光和免疫组化中的特异性。实验表明该抗体能有效识别内源性MPS1蛋白,并用于检测多种癌细胞系中MPS1的过表达,为肿瘤研究提供了可靠工具。

2. **文献名称**:*"MPS1 Antibody-Based Inhibition Suppresses Tumor Growth in Triple-Negative Breast Cancer Models"*

**作者**:Zhang Y, et al.

**摘要**:通过构建靶向MPS1的功能性抗体,研究者证明了其通过阻断MPS1激酶活性诱导癌细胞有丝分裂错误和凋亡的能力。体内实验显示,抗体治疗显著抑制三阴性乳腺癌小鼠模型的肿瘤生长,提示其作为潜在治疗策略的价值。

3. **文献名称**:*"High-Throughput Screening Using MPS1-Specific Antibodies Reveals Novel Biomarkers in Colorectal Cancer"*

**作者**:Lee H, et al.

**摘要**:利用MPS1特异性抗体对结直肠癌组织进行高通量筛选,发现MPS1表达水平与患者预后不良显著相关。研究进一步揭示了MPS1与染色体不稳定性的关联,为癌症诊断和靶向治疗提供了新方向。

---

如需真实文献,建议通过PubMed、Google Scholar等平台搜索关键词 **"MPS1 antibody"** 或 **"TTK kinase antibody"**,并筛选涉及抗体开发、验证或应用的研究。

背景信息

The MPS1 antibody targets the monopolar spindle 1 (MPS1) kinase, a critical serine/threonine kinase also known as TTK. MPS1 plays a pivotal role in the spindle assembly checkpoint (SAC), a surveillance mechanism ensuring accurate chromosome segregation during mitosis. It regulates SAC activation by phosphorylating kinetochore components, delaying anaphase until all chromosomes achieve proper microtubule attachment. Dysregulation of MPS1 is linked to chromosomal instability, a hallmark of cancer, making it a focus in oncology research.

MPS1 antibodies are widely used in research to detect protein expression, localization, and activity in cell cycle studies. They help assess MPS1's role in tumorigenesis, as overexpression of MPS1 is observed in various cancers, including breast, lung, and colorectal carcinomas. Inhibiting MPS1 has emerged as a therapeutic strategy, with small-molecule inhibitors shown to override SAC-mediated mitotic arrest, selectively killing cancer cells with defective checkpoints.

Clinically, MPS1 antibodies serve as tools to validate inhibitor efficacy in preclinical models and to identify biomarkers for patient stratification. Recent studies highlight their utility in combination therapies, enhancing the effects of chemotherapeutics or radiation. However, challenges remain, including off-target effects and resistance mechanisms. Despite this, MPS1 remains a promising target, with ongoing clinical trials exploring its therapeutic potential in oncology.

客户数据及评论

折叠内容

大包装询价

×