首页 / 产品 / 抗体 / 一抗

Mouse Monoclonal MUSK Antibody

  • 中文名: MUSK抗体
  • 别    名: muscle, skeletal, receptor tyrosine kinase
货号: IPD20347
Price: ¥1280
数量:
大包装询价

验证与应用

应用及物种
WB 咨询技术 Human,Mouse,Rat
IF 咨询技术 Human,Mouse,Rat
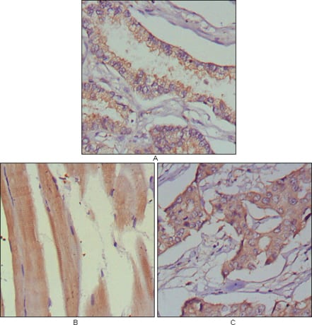
IHC 1/200 - 1/1000 Human,Mouse,Rat
ICC 1/200 - 1/1000 Human,Mouse,Rat
FCM 咨询技术 Human,Mouse,Rat
Elisa 1/10000 Human,Mouse,Rat

产品详情

Aliasesmuscle, skeletal, receptor tyrosine kinase
Entrez GeneID4593
clone10A4
WB Predicted band size97kDa
Host/IsotypeMouse IgG1
Antibody TypePrimary antibody
StorageStore at 4°C short term. Aliquot and store at -20°C long term. Avoid freeze/thaw cycles.
Species ReactivityHuman
ImmunogenPurified recombinant extracellular fragment of human MUSK (aa24-209) fused with hIgGFc tag expressed in HEK293 cell line.
FormulationPurified antibody in PBS with 0.05% sodium azide.

+ +

参考文献

以下是3-4条关于 **MUSK抗体**(肌肉特异性酪氨酸激酶抗体)的参考文献及其摘要概括:

---

1. **文献名称**: *"Auto-antibodies to the receptor tyrosine kinase MuSK in patients with myasthenia gravis without acetylcholine receptor antibodies"*

**作者**: Hoch W, et al.

**摘要**: 该研究首次确认MUSK抗体是部分血清阴性重症肌无力(MG)患者的关键致病因素,揭示了其通过干扰乙酰胆碱受体(AChR)聚集导致神经肌肉接头功能障碍的机制。

2. **文献名称**: *"Clinical correlates with anti-MuSK antibodies in generalized seronegative myasthenia gravis"*

**作者**: Evoli A, et al.

**摘要**: 文章分析了MUSK抗体阳性患者的临床特征,发现此类患者更易出现面肌和延髓肌无力,且对传统胆碱酯酶抑制剂反应较差,但对利妥昔单抗等免疫疗法敏感。

3. **文献名称**: *"IgG4 antibodies to MuSK in myasthenia gravis: A potential pathogenic mechanism via selective disruption of the neuromuscular junction"*

**作者**: Nikolić A, et al.

**摘要**: 研究提出MUSK抗体中IgG4亚型通过阻断MuSK与LRP4的相互作用,抑制神经肌肉接头发育关键通路(如AChR聚集),导致肌无力症状的独特病理机制。

4. **文献名称**: *"MuSK myasthenia gravis: From pathogenic mechanisms to targeted therapies"*

**作者**: Koneczny I, et al.

**摘要**: 综述总结了MUSK抗体介导的重症肌无力的分子机制(如补体非依赖性信号通路干扰),并讨论了靶向B细胞、细胞因子(如IL-6)及FcRn拮抗剂等新型治疗策略。

---

以上文献涵盖了MUSK抗体的致病机制、临床特征及治疗方向,主要发表于《Nature Medicine》《Annals of Neurology》等期刊,适用于神经免疫学领域的研究参考。

背景信息

**Background of MUSK Antibodies**

Muscle-specific tyrosine kinase (MuSK) antibodies are autoantibodies associated with a subset of myasthenia gravis (MG), a chronic autoimmune neuromuscular disorder. Discovered in 2001. MuSK antibodies target the MuSK protein, a receptor tyrosine kinase critical for neuromuscular junction (NMJ) formation and maintenance. Unlike typical MG cases linked to acetylcholine receptor (AChR) antibodies, MuSK-MG represents a distinct subtype (∼5–8% of MG patients), often affecting females more frequently.

MuSK, expressed in muscle cells, interacts with agrin and low-density lipoprotein receptor-related protein 4 (LRP4) to cluster AChRs during NMJ development. Anti-MuSK antibodies disrupt this signaling, impairing AChR organization and reducing synaptic transmission. Clinically, MuSK-MG patients often present with severe bulbar, facial, or respiratory weakness, but may lack the classic ocular symptoms seen in AChR-MG.

Diagnosis relies on detecting MuSK antibodies via cell-based assays or radioimmunoprecipitation. Treatment differs from conventional MG: patients may respond poorly to acetylcholinesterase inhibitors but benefit from immunosuppressants (e.g., corticosteroids, rituximab) or complement inhibitors. Research continues to unravel MuSK antibody pathogenicity, aiming to refine therapies for this challenging MG variant.

客户数据及评论

折叠内容

大包装询价

×