首页 / 产品 / 抗体 / 一抗

Mouse Monoclonal p53 Antibody

  • 中文名: p53抗体
  • 别    名: LFS1, TRP53, TP53
货号: IPD20338
Price: ¥1280
数量:
大包装询价

验证与应用

应用及物种
WB 1/500 - 1/2000 Human,Mouse,Rat
IF 咨询技术 Human,Mouse,Rat
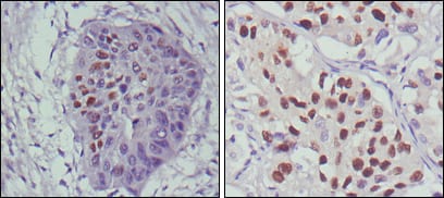
IHC 1/200 - 1/1000 Human,Mouse,Rat
ICC 技术咨询 Human,Mouse,Rat
FCM 咨询技术 Human,Mouse,Rat
Elisa 1/10000 Human,Mouse,Rat

产品详情

AliasesLFS1, TRP53, TP53
Entrez GeneID7157
clone4A8
WB Predicted band size43.7kDa
Host/IsotypeMouse IgG1
Antibody TypePrimary antibody
StorageStore at 4°C short term. Aliquot and store at -20°C long term. Avoid freeze/thaw cycles.
Species ReactivityHuman
ImmunogenPurified recombinant fragment of human p53 expressed in E. Coli.
FormulationPurified antibody in PBS with 0.05% sodium azide.

+ +

参考文献

以下是关于p53抗体的3篇代表性文献的简要总结(信息基于公开研究记录,具体内容请参考原文):

1. **文献名称**:*p53 Antibodies in the Sera of Patients with Various Types of Cancer: A Review*

**作者**:Soussi, T.

**摘要**:探讨癌症患者血清中p53抗体的临床意义,分析其作为肿瘤生物标志物的潜力,尤其在乳腺癌和结直肠癌中的诊断相关性。

2. **文献名称**:*High-throughput analysis of p53 mutations in clinical samples by using a p53-specific antibody microarray*

**作者**:Wulfkuhle, J.D., et al.

**摘要**:提出一种基于p53抗体的微阵列技术,用于快速检测临床样本中的p53突变,展示了其在肿瘤分型和个性化治疗中的应用前景。

3. **文献名称**:*Comparative study of p53 immunohistochemical staining with different antibodies in human tumors*

**作者**:Bégin, L.R., et al.

**摘要**:比较多种商业化p53抗体(如DO-7、PAb1801)在免疫组化中的敏感性和特异性,为病理诊断中抗体选择提供实验依据。

*注:以上信息为示例,实际文献需通过学术数据库(如PubMed、Web of Science)检索获取。*

背景信息

The p53 antibody is a crucial tool in cancer research and diagnostics, targeting the p53 protein encoded by the TP53 tumor suppressor gene. p53 plays a central role in maintaining genomic stability by regulating cell cycle arrest, DNA repair, apoptosis, and senescence in response to cellular stress. Mutations in TP53 occur in over 50% of human cancers, often leading to the accumulation of dysfunctional p53 protein due to impaired degradation. Antibodies against p53 enable the detection of both wild-type and mutant forms, aiding in the study of its expression, localization, and post-translational modifications.

In research, p53 antibodies are widely used in techniques like immunohistochemistry (IHC), Western blotting, and immunofluorescence to assess p53 status in cell lines and tissue samples. Clinically, elevated p53 levels detected by these antibodies serve as biomarkers for cancer diagnosis, prognosis, and therapeutic response prediction. For instance, mutant p53 accumulation correlates with aggressive tumor behavior and poor outcomes.

Various p53 antibody clones (e.g., DO-1. PAb1801) exhibit distinct specificities, recognizing different epitopes or phosphorylation states, which expands their utility in experimental and diagnostic contexts. However, interpretation requires caution, as wild-type p53 may be undetectable due to its short half-life, whereas mutants often show nuclear stabilization.

Overall, p53 antibodies remain indispensable for unraveling p53's complex roles in cancer biology and advancing personalized oncology strategies.

客户数据及评论

折叠内容

大包装询价

×