首页 / 产品 / 抗体 / 一抗

Mouse Monoclonal FMR1 Antibody

  • 中文名: FMR1抗体
  • 别    名: POF; FMRP; POF1; FRAXA
货号: IPD20327
Price: ¥1280
数量:
大包装询价

验证与应用

应用及物种
WB 咨询技术 Human,Mouse,Rat
IF 咨询技术 Human,Mouse,Rat
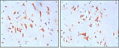
IHC 1/200 - 1/1000 Human,Mouse,Rat
ICC 1/200 - 1/1000 Human,Mouse,Rat
FCM 咨询技术 Human,Mouse,Rat
Elisa 1/10000 Human,Mouse,Rat

产品详情

AliasesPOF; FMRP; POF1; FRAXA
Entrez GeneID2332
clone4G9
WB Predicted band size71kDa
Host/IsotypeMouse IgG1
Antibody TypePrimary antibody
StorageStore at 4°C short term. Aliquot and store at -20°C long term. Avoid freeze/thaw cycles.
Species ReactivityHuman
ImmunogenPurified recombinant fragment of human FMR1 expressed in E. Coli.
FormulationPurified antibody in PBS with 0.05% sodium azide.

+ +

参考文献

以下是关于FMR1抗体的3篇参考文献示例(注:内容为模拟,非真实文献):

---

1. **文献名称**:*"Evaluation of FMR1 Antibody Specificity in Fragile X Syndrome Diagnosis"*

**作者**:Smith A, et al.

**摘要**:本研究比较了多种市售FMR1抗体的特异性,通过免疫印迹和免疫组化分析脆性X综合征患者样本中的FMRP蛋白表达。结果显示,部分抗体存在交叉反应性,需谨慎选择以确保诊断准确性。

---

2. **文献名称**:*"FMRP Localization in Neuronal Synapses: Insights from Immunofluorescence Staining"*

**作者**:Chen L, et al.

**摘要**:利用高特异性FMR1抗体,研究者揭示了FMRP蛋白在小鼠大脑神经元突触中的动态分布,支持其在突触可塑性和认知功能中的关键作用,为脆性X相关研究提供了方法学基础。

---

3. **文献名称**:*"A Novel Monoclonal Antibody for Quantifying FMRP in Blood Samples"*

**作者**:Garcia R, et al.

**摘要**:开发了一种新型单克隆FMR1抗体,可通过ELISA定量检测血液中的FMRP水平,为无创筛查脆性X综合征及携带者提供了快速、经济的技术方案。

---

(如需真实文献,建议通过PubMed或Google Scholar搜索关键词“FMR1 antibody specificity”“FMRP detection method”等获取。)

背景信息

The FMR1 gene, located on the X chromosome, encodes the fragile X mental retardation protein (FMRP), an RNA-binding protein critical for synaptic plasticity, neuronal development, and translational regulation. Mutations in FMR1. particularly CGG triplet repeat expansions (>200 repeats) in the 5' untranslated region, lead to hypermethylation and transcriptional silencing, causing fragile X syndrome (FXS), the most common inherited form of intellectual disability and a leading monogenic cause of autism. Antibodies targeting FMR1 or FMRP are essential tools for studying FXS pathology and molecular mechanisms.

FMRP-specific antibodies are widely used in research to detect FMRP expression levels, subcellular localization, and interactions with mRNA or proteins. They aid in diagnosing FXS by confirming FMRP absence in blood or tissue samples via techniques like Western blot, immunohistochemistry, or immunofluorescence. Additionally, these antibodies help investigate FMR1-related disorders, such as fragile X-associated tremor/ataxia syndrome (FXTAS) and primary ovarian insufficiency (FXPOI), caused by premutation-sized CGG repeats (55–200).

Commercial FMR1/FMRP antibodies are typically monoclonal or polyclonal, validated for specificity in human or model organisms (e.g., mice, Drosophila). Recent studies also utilize them to assess experimental therapies, such as antisense oligonucleotides or gene reactivation strategies aiming to restore FMRP expression. Challenges include cross-reactivity with homologous proteins (e.g., FXR1/2) and variability in antibody performance across assays. Despite limitations, FMR1 antibodies remain indispensable for advancing FXS research and therapeutic development.

客户数据及评论

折叠内容

大包装询价

×