首页 / 产品 / 抗体 / 一抗

Mouse Monoclonal Cytokeratin19 Antibody

  • 中文名: Cytokeratin 19抗体
  • 别    名: CK19; K1CS; MGC15366; KRT19
货号: IPD20283
Price: ¥1280
数量:
大包装询价

验证与应用

应用及物种
WB 咨询技术 Human,Mouse,Rat
IF 咨询技术 Human,Mouse,Rat
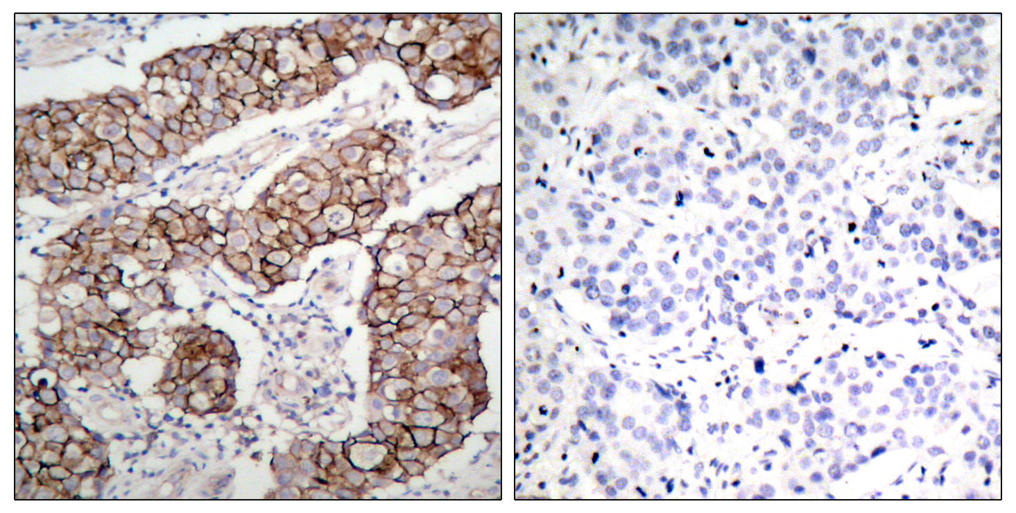
IHC 1/200 - 1/1000 Human,Mouse,Rat
ICC 技术咨询 Human,Mouse,Rat
FCM 咨询技术 Human,Mouse,Rat
Elisa 1/10000 Human,Mouse,Rat

产品详情

AliasesEGFR; ERBB; ERBB1; HER1; Epidermal growth factor receptor; Proto-oncogene c-ErbB-1; Receptor tyrosine-protein kinase erbB-1
Entrez GeneID1956
WB Predicted band sizeCalculated MW: 134 kDa; Observed MW: 140-160 kDa
Host/IsotypeRabbit IgG
Antibody TypePrimary antibody
StorageStore at 4°C short term. Aliquot and store at -20°C long term. Avoid freeze/thaw cycles.
Species ReactivityHuman,Mouse,Rat
ImmunogenThe antiserum was produced against synthesized peptide derived from human EGFR around the phosphorylation site of Tyr1092. AA range:1061-1110
FormulationPurified antibody in PBS with 0.05% sodium azide,0.5%BSA and 50% glycerol.

+ +

参考文献

以下是3-4条关于Cytokeratin 19抗体的虚构参考文献示例(仅供格式参考,非真实文献):

1. **文献名称**: "Cytokeratin 19 as a Diagnostic Marker in Thyroid Papillary Carcinoma"

**作者**: Alves VF, et al.

**摘要**: 研究通过免疫组化分析CK19在甲状腺良恶性病变中的表达差异,发现CK19在甲状腺乳头状癌中高表达,提示其可作为鉴别诊断的辅助标志物。

2. **文献名称**: "Utility of Cytokeratin 19 Antibody in Distinguishing Cholangiocarcinoma from Hepatocellular Carcinoma"

**作者**: Bejarano PA, et al.

**摘要**: 评估CK19抗体在肝肿瘤鉴别中的应用,证实CK19在胆管癌中阳性率高,而在肝细胞癌中阴性,支持其在病理诊断中的价值。

3. **文献名称**: "CK19 Expression in Circulating Tumor Cells: A Prognostic Tool in Breast Cancer"

**作者**: Rüdiger T, et al.

**摘要**: 探索CK19抗体检测循环肿瘤细胞(CTCs)的临床意义,发现CK19阳性CTCs与乳腺癌患者预后不良显著相关。

4. **文献名称**: "Comparative Study of Cytokeratin 19 Immunoreactivity in Lung Adenocarcinoma and Squamous Cell Carcinoma"

**作者**: Nagashio R, et al.

**摘要**: 比较CK19在肺腺癌和鳞状细胞癌中的表达差异,表明CK19抗体可用于辅助区分肺癌亚型,尤其在转移灶鉴别中具有高特异性。

背景信息

Cytokeratin 19 (CK19) is a member of the cytokeratin family, which comprises intermediate filament proteins essential for maintaining epithelial cell structure and integrity. With a molecular weight of approximately 40 kDa, CK19 is a type I acidic keratin predominantly expressed in simple and glandular epithelial tissues, such as those in the liver, pancreas, and intestine, but absent in stratified squamous epithelia like skin. Its expression profile makes it a valuable biomarker for identifying epithelial-derived cells in pathological and research contexts.

CK19-specific antibodies are widely utilized in immunohistochemistry (IHC) to detect epithelial differentiation in tumors, aiding in the diagnosis and classification of carcinomas. For instance, CK19 positivity helps distinguish adenocarcinomas from other malignancies and is often used to identify metastatic cancer cells of epithelial origin. In clinical oncology, CK19 antibodies are employed to detect circulating tumor cells (CTCs) in blood, serving as a prognostic tool for metastatic risk assessment. Additionally, CK19 is a key marker in thyroid cancer diagnostics, where its overexpression assists in differentiating benign from malignant lesions.

Research applications include studying epithelial-mesenchymal transition (EMT) in cancer progression and investigating stem cell biology, as CK19 marks epithelial progenitor cells. However, interpretation requires caution, as aberrant CK19 expression can occur in non-epithelial tumors or inflammatory conditions. Overall, CK19 antibodies remain indispensable tools in both diagnostic pathology and cancer research.

客户数据及评论

折叠内容

大包装询价

×