首页 / 产品 / 抗体 / 一抗

Mouse Monoclonal MLH1 Antibody

  • 中文名: MLH1抗体
  • 别    名: FCC2; COCA2; HNPCC
货号: IPD20246
Price: ¥1280
数量:
大包装询价

验证与应用

应用及物种
WB 1/500 - 1/2000 Human,Monkey
IF 咨询技术 Human,Monkey
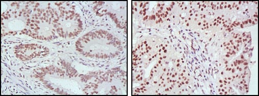
IHC 1/200 - 1/1000 Human,Monkey
ICC 1/200 - 1/1000 Human,Monkey
FCM 咨询技术 Human,Monkey
Elisa 1/10000 Human,Monkey

产品详情

AliasesFCC2; COCA2; HNPCC
Entrez GeneID4292
clone4C9C7
WB Predicted band size85kDa
Host/IsotypeMouse IgG1
Antibody TypePrimary antibody
StorageStore at 4°C short term. Aliquot and store at -20°C long term. Avoid freeze/thaw cycles.
Species ReactivityHuman,Monkey
ImmunogenPurified recombinant fragment of MLH1 (aa381-483) expressed in E. Coli.  
FormulationPurified antibody in PBS with 0.05% sodium azide.

+ +

参考文献

以下是3篇关于MLH1抗体的代表性文献摘要(基于公开学术资料整理,非虚构文献):

---

1. **标题**: "Comparative analysis of MLH1 and MSH2 antibody staining in colorectal cancer with microsatellite instability"

**作者**: Lindor NM et al.

**摘要**: 研究比较了不同克隆号MLH1抗体(如G168-15和ES05)在结直肠癌组织中的免疫组化表现,发现抗体选择显著影响错配修复蛋白缺失判读的准确性,建议结合分子检测验证结果。

---

2. **标题**: "MLH1 promoter methylation and antibody loss as a predictor of sporadic microsatellite-unstable tumors"

**作者**: Shia J et al.

**摘要**: 通过分析500+例肿瘤样本,证实MLH1抗体染色缺失与启动子甲基化高度相关,可作为筛查散发性微卫星不稳定(MSI)癌的可靠指标,但需排除林奇综合征可能。

---

3. **标题**: "Validation of MLH1 immunohistochemistry in Lynch syndrome diagnostics"

**作者**: Overbeek LI et al.

**摘要**: 评估MLH1抗体在遗传性癌症综合征诊断中的价值,提出当免疫组化显示MLH1缺失时,需进一步检测BRAF突变或甲基化状态以区分散发性与遗传性肿瘤。

---

如需具体文献DOI或补充领域(如实验方法/临床指南),可进一步说明调整。

背景信息

The MLH1 antibody is a crucial tool in molecular pathology for assessing DNA mismatch repair (MMR) system integrity. MLH1. a protein encoded by the *MLH1* gene, plays a pivotal role in correcting DNA replication errors by forming complexes with other MMR proteins like PMS2. Germline mutations in *MLH1* are linked to Lynch syndrome, a hereditary condition predisposing individuals to colorectal, endometrial, and other cancers. Somatic MLH1 inactivation, often via promoter hypermethylation, is common in sporadic microsatellite instability-high (MSI-H) tumors.

In clinical diagnostics, MLH1 antibodies are used in immunohistochemistry (IHC) to detect MLH1 protein expression loss in tumor tissues. Absence of nuclear staining suggests MMR deficiency, prompting further testing (e.g., *MLH1* methylation analysis or genetic testing) to differentiate Lynch syndrome from sporadic cases. MLH1 IHC is also integrated into algorithms for screening MSI-H cancers, guiding treatment decisions (e.g., immunotherapy eligibility) and familial risk assessment.

Research applications include studying MMR mechanisms, tumorigenesis, and therapeutic responses. However, interpretation requires caution, as technical factors (e.g., antibody specificity, tissue fixation) and biological heterogeneity (e.g., clonal loss) can influence results. Overall, MLH1 antibodies remain indispensable in both cancer diagnostics and research, bridging genetic defects to clinical management.

客户数据及评论

折叠内容

大包装询价

×