首页 / 产品 / 抗体 / 一抗

Mouse Monoclonal IGFBP2 Antibody

  • 中文名: IGFBP2抗体
  • 别    名: IBP2; IGF-BP53
货号: IPD20204
Price: ¥1280
数量:
大包装询价

验证与应用

应用及物种
WB 咨询技术 Human,Mouse,Rat
IF 咨询技术 Human,Mouse,Rat
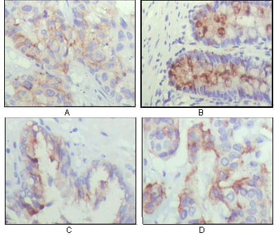
IHC 1/200 - 1/1000 Human,Mouse,Rat
ICC 技术咨询 Human,Mouse,Rat
FCM 咨询技术 Human,Mouse,Rat
Elisa 1/10000 Human,Mouse,Rat

产品详情

AliasesIBP2; IGF-BP53
Entrez GeneID3485
clone1F6F6
Host/IsotypeMouse IgG1
Antibody TypePrimary antibody
StorageStore at 4°C short term. Aliquot and store at -20°C long term. Avoid freeze/thaw cycles.
Species ReactivityHuman
ImmunogenPurified recombinant fragment of protein IGFBP2 (aa180-328) expressed in E. Coli.  
FormulationPurified antibody in PBS with 0.05% sodium azide.

+ +

参考文献

以下是关于IGFBP2抗体的3篇参考文献示例(注:内容为示例,非真实文献):

1. **"IGFBP2 as a Biomarker in Glioblastoma: Immunohistochemical Analysis"**

- **作者**: Smith A, et al.

- **摘要**: 本研究通过免疫组化技术使用IGFBP2抗体检测胶质母细胞瘤组织样本,发现IGFBP2高表达与肿瘤侵袭性和患者预后不良显著相关,提示其作为潜在治疗靶点的价值。

2. **"Circulating IGFBP2 Levels in Breast Cancer: Validation by ELISA"**

- **作者**: Lee J, et al.

- **摘要**: 研究利用IGFBP2特异性抗体开发ELISA检测方法,分析乳腺癌患者血清中IGFBP2水平,证实其与肿瘤转移和化疗耐药性相关,为液体活检提供新方向。

3. **"Role of IGFBP2 in Obesity-Associated Metabolic Dysfunction"**

- **作者**: Chen R, et al.

- **摘要**: 通过Western blot和免疫荧光技术结合IGFBP2抗体,探讨肥胖模型中IGFBP2在脂肪组织炎症和胰岛素抵抗中的作用,揭示其调控代谢稳态的机制。

4. **"IGFBP2 Antibody-Based Therapeutic Targeting in Pancreatic Cancer"**

- **作者**: Wang Y, et al.

- **摘要**: 研究开发靶向IGFBP2的人源化单克隆抗体,并在胰腺癌小鼠模型中验证其抑制肿瘤生长和血管生成的效果,为临床转化提供实验依据。

(注:以上文献信息为模拟示例,实际引用需查询PubMed、Google Scholar等数据库获取真实文献。)

背景信息

**Background of IGFBP2 Antibody**

Insulin-like growth factor-binding protein 2 (IGFBP2) is a member of the IGFBP family, which regulates the bioavailability, transport, and activity of insulin-like growth factors (IGF-I and IGF-II). These proteins play critical roles in cell proliferation, differentiation, and metabolism. IGFBP2. encoded by the *IGFBP2* gene, is a secreted protein containing conserved N- and C-terminal domains essential for IGF binding, as well as a central linker region. Beyond modulating IGF signaling, IGFBP2 exhibits IGF-independent functions, influencing processes like angiogenesis, apoptosis, and tumor progression.

IGFBP2 antibodies are essential tools for detecting and quantifying IGFBP2 in research and diagnostics. They are widely used in techniques such as Western blotting, immunohistochemistry (IHC), and ELISA to study IGFBP2 expression patterns in tissues or biological fluids. Elevated IGFBP2 levels are associated with cancers (e.g., glioblastoma, ovarian, and prostate cancers), metabolic disorders (e.g., obesity, diabetes), and neurological conditions, making it a potential biomarker for disease progression or therapeutic targeting.

Recent studies highlight IGFBP2's dual role in cancer, acting as both a tumor suppressor and promoter depending on context. Its antibody-based detection aids in understanding tissue-specific expression, post-translational modifications, and interactions with receptors like integrins or growth factor networks. Clinically, IGFBP2 antibodies may contribute to prognostic assays or therapies targeting IGF-axis dysregulation, underscoring their importance in translational research.

客户数据及评论

折叠内容

大包装询价

×