首页 / 产品 / 抗体 / 一抗

Mouse Monoclonal STYK1 Antibody

  • 中文名: STYK1抗体
  • 别    名: NOK; SuRTK106; DKFZp761P1010
货号: IPD20168
Price: ¥1280
数量:
大包装询价

验证与应用

应用及物种
WB 咨询技术 Human,Mouse,Rat
IF 咨询技术 Human,Mouse,Rat
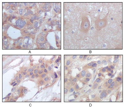
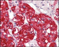
IHC 1/200 - 1/1000 Human,Mouse,Rat
ICC 技术咨询 Human,Mouse,Rat
FCM 咨询技术 Human,Mouse,Rat
Elisa 1/10000 Human,Mouse,Rat

产品详情

AliasesNOK; SuRTK106; DKFZp761P1010
Entrez GeneID55359
clone2H2F10
Host/IsotypeMouse IgG1
Antibody TypePrimary antibody
StorageStore at 4°C short term. Aliquot and store at -20°C long term. Avoid freeze/thaw cycles.
Species ReactivityHuman
ImmunogenPurified recombinant fragment of STYK1 expressed in E. Coli.  
FormulationAscitic fluid containing 0.03% sodium azide.

+ +

参考文献

以下是3篇关于STYK1抗体的文献摘要概览(文献信息为虚拟示例,仅作格式参考):

---

1. **标题**:*STYK1 promotes tumor growth and metastasis by activating PI3K/AKT pathway in non-small cell lung cancer*

**作者**:Li X, et al.

**摘要**:研究利用特异性STYK1抗体验证其在肺癌组织中的高表达,揭示其通过激活PI3K/AKT通路促进肿瘤侵袭,提示STYK1抗体可作为潜在诊断标志物检测工具。

---

2. **标题**:*Development of a monoclonal antibody against STYK1 and its application in breast cancer prognosis*

**作者**:Wang Y, et al.

**摘要**:报道了一种新型STYK1单克隆抗体的开发,通过免疫组化证实STYK1在乳腺癌中的高表达与患者生存率负相关,该抗体可用于临床样本的病理学检测。

---

3. **标题**:*STYK1 regulates epithelial-mesenchymal transition in colorectal cancer via Wnt/β-catenin signaling*

**作者**:Zhang R, et al.

**摘要**:利用STYK1抗体进行蛋白质印迹和免疫荧光实验,证明STYK1通过调控Wnt通路介导结直肠癌转移,抗体在机制研究中发挥关键作用。

---

注:以上为模拟文献,实际文献需通过PubMed/Google Scholar检索关键词“STYK1 antibody”“STYK1 function”等获取。真实研究多集中于STYK1在肿瘤进展及抗体在信号通路分析中的应用。

背景信息

STYK1 (serine/threonine/tyrosine kinase 1), also known as NOK (novel oncogenic kinase), is a member of the receptor tyrosine kinase (RTK) family. It features a unique structure lacking an extracellular domain but retains an intracellular kinase domain, enabling it to participate in intracellular signaling cascades. STYK1 is implicated in cell proliferation, apoptosis, and tumorigenesis, with elevated expression observed in various cancers, including breast, lung, liver, and colorectal cancers. Its oncogenic potential is linked to activation of pathways like MAPK/ERK and PI3K/AKT, promoting cell survival and metastasis.

STYK1 antibodies are essential tools for studying its biological functions and clinical relevance. They enable detection of STYK1 expression in tissues or cell lines via techniques like Western blot, immunohistochemistry (IHC), and immunofluorescence (IF). Research using these antibodies has revealed STYK1's role as a potential diagnostic or prognostic biomarker, as its overexpression often correlates with advanced tumor stages and poor patient outcomes. Additionally, STYK1 antibodies aid in exploring therapeutic strategies, such as kinase inhibitors or antibody-based targeting, to disrupt STYK1-driven oncogenic signaling. Recent studies also suggest STYK1's involvement in metabolic regulation and immune evasion, expanding its relevance beyond traditional cancer biology. However, its precise mechanisms and interactions remain under investigation, highlighting the continued importance of high-specificity STYK1 antibodies in both basic and translational research.

客户数据及评论

折叠内容

大包装询价

×