首页 / 产品 / 抗体 / 一抗

Mouse Monoclonal Cytokeratin5 Antibody

  • 中文名: Cytokeratin 5抗体
  • 别    名: K5; DDD; EBS2; KRT5A; KRT5
货号: IPD20142
Price: ¥1280
数量:
大包装询价

验证与应用

应用及物种
WB 咨询技术 Human,Mouse,Rat
IF 咨询技术 Human,Mouse,Rat
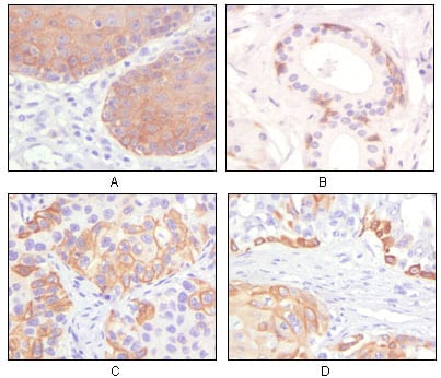
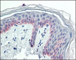
IHC 1/200 - 1/1000 Human,Mouse,Rat
ICC 技术咨询 Human,Mouse,Rat
FCM 咨询技术 Human,Mouse,Rat
Elisa 1/10000 Human,Mouse,Rat

产品详情

AliasesK5; DDD; EBS2; KRT5A; KRT5
Entrez GeneID3852
clone3E2F1
Host/IsotypeMouse IgG1
Antibody TypePrimary antibody
StorageStore at 4°C short term. Aliquot and store at -20°C long term. Avoid freeze/thaw cycles.
Species ReactivityHuman
ImmunogenPurified recombinant fragment of CK5 expressed in E. Coli.
FormulationAscitic fluid containing 0.03% sodium azide.

+ +

参考文献

以下是3篇关于Cytokeratin 5(CK5)抗体的参考文献及其摘要概述:

1. **"Molecular portraits of human breast tumours"**

- Perou, C.M., et al. (2000) *Nature*

- 首次将CK5作为基底细胞样乳腺癌的标记物,发现其在三阴性乳腺癌中高表达,与患者预后不良相关。

2. **"Immunohistochemical and clinical characterization of the basal-like subtype of invasive breast carcinoma"**

- Nielsen, T.O., et al. (2004) *Clin Cancer Res*

- 验证CK5抗体在乳腺癌分型中的应用,提出CK5与EGFR联合检测可提高基底样乳腺癌诊断准确性。

3. **"Cytokeratin 5-positive cells represent a steroid receptor-negative, tumor-propagating population in luminal breast cancer"**

- Tsang, J.Y.S. & Wong, K.H. (2015) *Breast Cancer Res*

- 发现CK5阳性细胞在管腔型乳腺癌中具有干细胞特性,可能驱动肿瘤耐药和复发。

4. **"Cytokeratin 5/14 immunohistochemistry assists the differential diagnosis of atypical fibroxanthoma"**

- Böhm, M., et al. (2012) *Am J Dermatopathol*

- 证实CK5抗体在皮肤肿瘤诊断中的价值,可有效区分鳞状细胞癌与其他梭形细胞肿瘤。

(注:如需具体DOI或页码,请提供更详细需求)

背景信息

Cytokeratin 5 (CK5) is a member of the intermediate filament protein family, which forms part of the cytoskeleton in epithelial cells. It is primarily expressed in basal or progenitor cells of stratified and complex epithelia, such as the skin, mammary glands, prostate, and respiratory tract. CK5. encoded by the *KRT5* gene, pairs with CK14 to create a structural network that maintains cellular integrity, mechanical strength, and resistance to stress. Its expression is a hallmark of basal-like epithelial cell populations, distinguishing them from luminal or differentiated cells.

Antibodies targeting CK5 are widely used in research and diagnostics to identify cell types and study epithelial biology. In cancer research, CK5 antibodies help classify tumors, particularly in breast cancer, where CK5-positive tumors often correlate with basal-like subtypes linked to aggressive behavior and distinct therapeutic responses. CK5 is also a marker for certain skin disorders, such as epidermolysis bullosa simplex, caused by *KRT5* mutations.

Immunohistochemistry (IHC), immunofluorescence (IF), and Western blotting are common methods employing CK5 antibodies. Their specificity enables the study of epithelial differentiation, wound healing, and cancer stem cells. However, interpretation requires context, as CK5 expression varies across tissues and pathological conditions. Overall, CK5 antibodies are vital tools for exploring epithelial cell biology, disease mechanisms, and personalized oncology diagnostics.

客户数据及评论

折叠内容

大包装询价

×