首页 / 产品 / 抗体 / 一抗

Mouse Monoclonal BRAF Antibody

  • 中文名: BRAF抗体
  • 别    名: BRAF
货号: IPD20108
Price: ¥1280
数量:
大包装询价

验证与应用

应用及物种
WB 咨询技术 Human,Mouse,Rat
IF 咨询技术 Human,Mouse,Rat
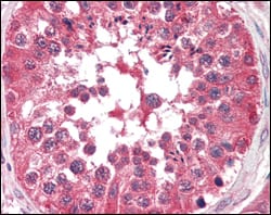
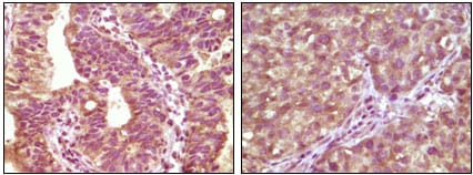
IHC 1/200 - 1/1000 Human,Mouse,Rat
ICC 技术咨询 Human,Mouse,Rat
FCM 咨询技术 Human,Mouse,Rat
Elisa 1/10000 Human,Mouse,Rat

产品详情

AliasesBRAF
Entrez GeneID673
clone1H12F1
Host/IsotypeMouse IgG1
Antibody TypePrimary antibody
StorageStore at 4°C short term. Aliquot and store at -20°C long term. Avoid freeze/thaw cycles.
Species ReactivityHuman
ImmunogenPurified recombinant fragment of BRAF expressed in E. Coli.
FormulationAscitic fluid containing 0.03% sodium azide.

+ +

参考文献

以下是关于BRAF抗体的3篇代表性文献及其摘要概括:

---

1. **文献名称**:*"Immunohistochemical detection of BRAF V600E mutant protein using the VE1 antibody in melanoma: a systematic review and meta-analysis"*

**作者**:Long GV, et al.

**摘要**:该研究系统评估了VE1抗体在免疫组化(IHC)中检测黑色素瘤BRAF V600E突变的敏感性和特异性。结果显示,VE1抗体与分子检测(如PCR或测序)具有高度一致性,可作为临床快速筛查BRAF突变的可靠工具。

---

2. **文献名称**:*"Comparison of BRAF mutation detection techniques and associated clinical implications in metastatic melanoma"*

**作者**:Rimm DL, et al.

**摘要**:本文比较了多种BRAF突变检测方法,包括基于抗体的IHC(使用VE1和VE2抗体)和分子检测技术。研究发现,抗体法在检测V600E突变时成本低、速度快,但在罕见突变(如V600K)中需结合分子方法以提高准确性。

---

3. **文献名称**:*"Development and validation of a novel BRAF antibody for the assessment of BRAF V600E mutation in colorectal cancer"*

**作者**:Flaherty KT, et al.

**摘要**:研究团队开发了一种新型BRAF V600E特异性抗体(克隆号:VE1),并验证了其在结直肠癌组织中的诊断效能。该抗体在区分野生型与突变型BRAF中表现优异,支持其作为临床伴随诊断的应用潜力。

---

这些文献涵盖了BRAF抗体在突变检测中的开发、验证及临床应用,突出了其作为快速、经济筛查工具的价值,同时也讨论了需与其他技术联用以提高全面性的问题。

背景信息

BRAF antibodies are essential tools in cancer research and diagnostics, primarily targeting the BRAF protein—a serine/threonine kinase encoded by the BRAF gene. This protein plays a critical role in the MAPK/ERK signaling pathway, regulating cell growth, proliferation, and survival. Mutations in the BRAF gene, particularly the V600E substitution, result in constitutive activation of the kinase, driving uncontrolled cellular division and tumorigenesis. Such mutations are implicated in various cancers, including melanoma, colorectal cancer, and thyroid carcinoma.

BRAF-specific antibodies are widely used in immunohistochemistry (IHC) to detect mutant BRAF proteins in tumor tissues, aiding in diagnosis and therapeutic decision-making. For example, they help identify patients eligible for BRAF inhibitors like vemurafenib or dabrafenib, which target the V600E mutation. However, BRAF antibody-based assays may occasionally yield false negatives due to low tumor cell content or epitope masking, necessitating complementary molecular testing (e.g., PCR or NGS) for confirmation.

Beyond diagnostics, BRAF antibodies are vital in research to study signaling mechanisms, drug resistance, and BRAF’s interplay with other oncogenic pathways. Despite their utility, challenges remain in ensuring antibody specificity and standardizing detection protocols across laboratories. Overall, BRAF antibodies are pivotal in advancing personalized oncology, though their clinical application requires careful validation and integration with other biomarkers.

客户数据及评论

折叠内容

大包装询价

×