首页 / 产品 / 抗体 / 一抗

Mouse Monoclonal PR Antibody

  • 中文名: PR抗体
  • 别    名: PR; NR3C3; PGR
货号: IPD20107
Price: ¥1280
数量:
大包装询价

验证与应用

应用及物种
WB 咨询技术 Human,Mouse,Rat
IF 咨询技术 Human,Mouse,Rat
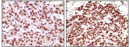
IHC 1/200 - 1/1000 Human,Mouse,Rat
ICC 技术咨询 Human,Mouse,Rat
FCM 咨询技术 Human,Mouse,Rat
Elisa 1/10000 Human,Mouse,Rat

产品详情

AliasesPR; NR3C3; PGR
Entrez GeneID5241
clone2F12B4
Host/IsotypeMouse IgG1
Antibody TypePrimary antibody
StorageStore at 4°C short term. Aliquot and store at -20°C long term. Avoid freeze/thaw cycles.
Species ReactivityHuman
ImmunogenPurified recombinant fragment of PR expressed in E. Coli.
FormulationAscitic fluid containing 0.03% sodium azide.

+ +

参考文献

以下是关于孕激素受体(PR)抗体的3篇代表性文献概览,涵盖临床、检测及机制研究方向:

---

1. **文献名称**:*Progesterone receptor status and clinical outcome in breast cancer: A systematic review and meta-analysis*

**作者**:Harvey JM et al.

**摘要**:该综述分析了PR表达与乳腺癌预后的关联,证实PR阳性患者对内分泌治疗反应更佳,且PR状态可辅助ER阳性病例的个性化治疗决策。

2. **文献名称**:*ASCO/CAP guideline recommendations for immunohistochemical testing of estrogen and progesterone receptors in breast cancer*

**作者**:Hammond MEH et al.

**摘要**:ASCO/CAP联合指南提出了PR抗体检测的标准化流程(如抗体选择、染色评分标准),强调检测质量对乳腺癌分型及治疗的重要性。

3. **文献名称**:*Structure and function of the progesterone receptor*

**作者**:Conneely OM et al.

**摘要**:本文解析了PR蛋白的分子结构及信号调控机制,探讨特异性抗体在揭示PR亚型(PRA/PRB)功能差异中的应用。

---

**注**:如需具体文献年份或补充实验研究(如抗体性能比较),可进一步提供关键词或研究场景细化检索范围。

背景信息

Progesterone receptor (PR) antibodies are essential tools in both research and clinical diagnostics, primarily used to detect the presence and distribution of progesterone receptors in tissues. Progesterone receptors are nuclear hormone receptors that mediate the effects of progesterone, a steroid hormone critical for regulating reproductive functions, including menstrual cycle, pregnancy, and mammary gland development. PR exists in two main isoforms, PR-A and PR-B, derived from the same gene via alternative promoter usage. These isoforms exhibit distinct regulatory roles in target tissues.

In clinical pathology, PR antibodies are widely employed in immunohistochemistry (IHC) to assess PR expression in breast cancer specimens. PR status, alongside estrogen receptor (ER) and HER2. is a key biomarker for breast cancer subtyping and treatment guidance. Tumors expressing PR (PR-positive) are typically hormone-sensitive and may respond to endocrine therapies like tamoxifen or aromatase inhibitors. Thus, PR detection aids in prognosis prediction and therapeutic decision-making.

Research applications include studying PR's role in reproductive biology, cancer progression, and hormone signaling pathways. PR antibodies enable localization, quantification, and functional analysis of PR in cell and animal models. Their specificity and validation are critical, as cross-reactivity or batch variability can affect data accuracy. Overall, PR antibodies bridge molecular insights with clinical practice, enhancing personalized oncology and hormone-related disease management.

客户数据及评论

折叠内容

大包装询价

×