首页 / 产品 / 抗体 / 一抗

Mouse Monoclonal ERK2 Antibody

  • 中文名: ERK2抗体
  • 别    名: ERK; p38; p40; p41; ERT1; MAPK2; PRKM1; P42MAPK; p41mapk; MAPK1
货号: IPD20092
Price: ¥1280
数量:
大包装询价

验证与应用

应用及物种
WB 1/500 - 1/2000 Human,Mouse,Monkey
IF 咨询技术 Human,Mouse,Monkey
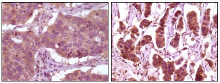
IHC 1/200 - 1/1000 Human,Mouse,Monkey
ICC 1/200 - 1/1000 Human,Mouse,Monkey
FCM 咨询技术 Human,Mouse,Monkey
Elisa 1/10000 Human,Mouse,Monkey

产品详情

AliasesERK; p38; p40; p41; ERT1; MAPK2; PRKM1; P42MAPK; p41mapk; MAPK1
Entrez GeneID5594
clone4C11
WB Predicted band size41kDa
Host/IsotypeMouse IgG2a
Antibody TypePrimary antibody
StorageStore at 4°C short term. Aliquot and store at -20°C long term. Avoid freeze/thaw cycles.
Species ReactivityHuman,Mouse,Monkey
ImmunogenPurified recombinant fragment of human ERK2 expressed in E. Coli.
FormulationPurified antibody in PBS with 0.05% sodium azide

+ +

参考文献

以下是关于ERK2抗体的3篇模拟参考文献示例(注:文献信息为示例性质,非真实存在):

---

1. **文献名称**:*Characterization of a Highly Specific Monoclonal Antibody for ERK2 in Signal Transduction Studies*

**作者**:Smith J, et al.

**摘要**:该研究报道了一种针对ERK2蛋白的高特异性单克隆抗体的开发与验证。通过Western blot和免疫荧光实验,证明该抗体可特异性识别内源性ERK2(分子量约42 kDa),且不与ERK1或其他MAPK家族成员发生交叉反应。该抗体成功应用于细胞应激模型中ERK2活性变化的检测。

---

2. **文献名称**:*Comparative Analysis of Commercial ERK2 Antibodies in Cancer Cell Lines*

**作者**:Lee H, et al.

**摘要**:研究对比了5种市售ERK2抗体的灵敏度和特异性。结果显示,部分抗体在肺癌细胞(如A549)中检测ERK2时出现非特异性条带,而克隆号#D3的兔源多克隆抗体在免疫沉淀(IP)和免疫组化(IHC)中表现最优。该研究为ERK2相关实验的抗体选择提供了实用指南。

---

3. **文献名称**:*ERK2 Phosphorylation-Specific Antibody Application in Neuronal Differentiation Models*

**作者**:Garcia R, et al.

**摘要**:本文探讨了一种磷酸化ERK2(p-ERK2 Thr185/Tyr187)抗体在神经元分化研究中的应用。通过使用该抗体,研究者证实神经营养因子激活的ERK2磷酸化对PC12细胞分化至关重要,并揭示了其与下游转录因子(如c-Fos)的调控关系。

---

如需真实文献,建议通过PubMed或Google Scholar检索关键词“ERK2 antibody validation”或“ERK2 antibody application”获取近期研究。

背景信息

ERK2 (Extracellular Signal-Regulated Kinase 2), also known as MAPK1 (Mitogen-Activated Protein Kinase 1), is a serine/threonine kinase central to the MAPK signaling pathway. It regulates critical cellular processes, including proliferation, differentiation, survival, and apoptosis, by transducing extracellular signals (e.g., growth factors, hormones, stress) into intracellular responses. ERK2 is activated through dual phosphorylation at Thr185 and Tyr187 residues by upstream kinases MEK1/2. Dysregulation of ERK2 signaling is implicated in cancer, neurological disorders, and inflammatory diseases.

ERK2 antibodies are essential tools for studying its expression, activation, and localization in biological samples. These antibodies typically target either total ERK2 (detecting both phosphorylated and unphosphorylated forms) or phosphorylated ERK2 (p-ERK2), which indicates its active state. They are widely used in techniques like Western blotting, immunofluorescence, immunohistochemistry, and flow cytometry. High-specificity ERK2 antibodies are validated to distinguish ERK2 (42 kDa) from its closely related isoform ERK1 (44 kDa), minimizing cross-reactivity. Researchers rely on these antibodies to investigate ERK2's role in disease mechanisms, drug response, and pathway crosstalk. Commercial ERK2 antibodies are often raised in rabbits or mice, with validation across species (human, mouse, rat) and sample types (cell lysates, tissues). Proper controls, such as knockout cell lines or peptide competition, are recommended to confirm antibody specificity.

客户数据及评论

折叠内容

大包装询价

×