首页 / 产品 / 抗体 / 一抗

Mouse Monoclonal GSK3alpha Antibody

  • 中文名: GSK3 alpha抗体
  • 别    名: DKFZp686D0638; GSK3A
货号: IPD20089
Price: ¥1280
数量:
大包装询价

验证与应用

应用及物种
WB 咨询技术 Human,Mouse,Rat
IF 咨询技术 Human,Mouse,Rat
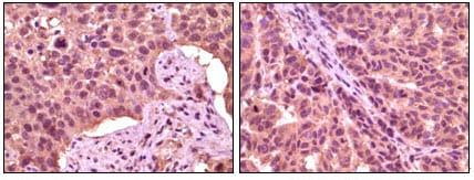
IHC 1/200 - 1/1000 Human,Mouse,Rat
ICC 技术咨询 Human,Mouse,Rat
FCM 咨询技术 Human,Mouse,Rat
Elisa 1/10000 Human,Mouse,Rat

产品详情

AliasesDKFZp686D0638; GSK3A
Entrez GeneID2931
clone6G2F1
Host/IsotypeMouse IgG2b
Antibody TypePrimary antibody
StorageStore at 4°C short term. Aliquot and store at -20°C long term. Avoid freeze/thaw cycles.
Species ReactivityHuman
ImmunogenPurified recombinant fragment of GSK3 alpha expressed in E. Coli.
FormulationAscitic fluid containing 0.03% sodium azide.

+ +

参考文献

以下是关于GSK3α抗体的3篇参考文献及其摘要概括:

---

1. **文献名称**: *"Characterization of a monoclonal antibody specific for GSK3α reveals differential regulation of cytosolic GSK3α/β"*

**作者**: Frame S et al.

**摘要**: 该研究开发了一种特异性识别GSK3α的单克隆抗体,并通过免疫印迹和免疫荧光验证其不与GSK3β交叉反应。研究发现,在细胞质中GSK3α的活性受胰岛素信号通路的调控,与GSK3β存在差异调节机制。

---

2. **文献名称**: *"GSK3α regulates mitochondrial dysfunction via DRP1 phosphorylation in cardiac ischemia-reperfusion injury"*

**作者**: Park SS et al.

**摘要**: 利用特异性GSK3α抗体,作者发现心脏缺血再灌注损伤中,GSK3α通过磷酸化DRP1蛋白调控线粒体分裂。抗体在实验中被用于免疫沉淀和免疫组化,证实GSK3α的亚细胞定位及功能。

---

3. **文献名称**: *"Differential roles of GSK3α and GSK3β in Wnt signaling and human colorectal cancer"*

**作者**: Wu D et al.

**摘要**: 该研究通过靶向GSK3α和GSK3β的特异性抗体,揭示了二者在Wnt通路中的不同作用。GSK3α抗体检测显示其在结直肠癌中高表达,并通过调控β-catenin稳定性促进肿瘤进展,而GSK3β则呈现相反趋势。

---

以上文献均聚焦于GSK3α抗体的开发或应用,涵盖信号通路、疾病模型及分子机制研究。如需更多文献,可进一步检索PubMed或Web of Science数据库。

背景信息

Glycogen synthase kinase 3 alpha (GSK3α) is a serine/threonine kinase involved in regulating diverse cellular processes, including metabolism, proliferation, differentiation, and apoptosis. As one of two isoforms (GSK3α and GSK3β) encoded by distinct genes, GSK3α shares ~85% sequence homology with GSK3β but exhibits functional differences due to structural variations, particularly in the N-terminal domain. Both isoforms are constitutively active under basal conditions and are inhibited via phosphorylation by upstream signals such as insulin or growth factors. GSK3α is notably implicated in glucose homeostasis, Wnt/β-catenin signaling, and pathologies like diabetes, cancer, and neurodegenerative diseases.

Antibodies targeting GSK3α are essential tools for studying its expression, localization, and activity in biological systems. These antibodies are designed to distinguish GSK3α from GSK3β by recognizing unique epitopes, often within the divergent N-terminal region. Validated applications include Western blotting, immunohistochemistry, immunoprecipitation, and immunofluorescence. Researchers rely on these antibodies to investigate isoform-specific roles, phosphorylation status (e.g., at Ser21), or interactions with regulatory proteins. However, cross-reactivity with GSK3β remains a critical validation step to ensure specificity. Commercially available GSK3α antibodies are typically developed in rabbit or mouse hosts, with monoclonal and polyclonal variants offering different sensitivity and specificity profiles. Their use has advanced understanding of GSK3α's contribution to diseases and therapeutic targeting strategies.

客户数据及评论

折叠内容

大包装询价

×