首页 / 产品 / 抗体 / 一抗

Mouse Monoclonal EphB4 Antibody

  • 中文名: EphB4抗体
  • 别    名: HTK; MYK1; TYRO11
货号: IPD20073
Price: ¥1280
数量:
大包装询价

验证与应用

应用及物种
WB 咨询技术 Human,Mouse,Rat
IF 咨询技术 Human,Mouse,Rat
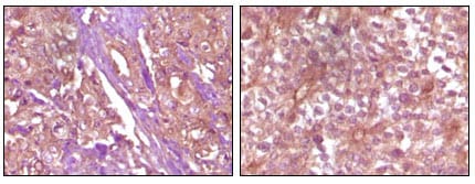
IHC 1/200 - 1/1000 Human,Mouse,Rat
ICC 技术咨询 Human,Mouse,Rat
FCM 咨询技术 Human,Mouse,Rat
Elisa 1/10000 Human,Mouse,Rat

产品详情

AliasesHTK; MYK1; TYRO11
Entrez GeneID2050
clone5B8F7
Host/IsotypeMouse IgG2a
Antibody TypePrimary antibody
StorageStore at 4°C short term. Aliquot and store at -20°C long term. Avoid freeze/thaw cycles.
Species ReactivityHuman
ImmunogenPurified recombinant fragment of EphB4 expressed in E. Coli.
FormulationAscitic fluid containing 0.03% sodium azide.

+ +

参考文献

以下是关于EphB4抗体的3篇参考文献及其摘要内容:

1. **文献名称**:*"EphB4 as a therapeutic target in tumor angiogenesis"*

**作者**:Kumar, S. R., et al.

**摘要**:该研究探讨了EphB4受体在肿瘤血管生成中的作用,开发了一种靶向EphB4的单克隆抗体,通过抑制EphB4信号通路显著减少肿瘤血管形成并抑制小鼠模型中结直肠癌的生长。

2. **文献名称**:*"Structural characterization of EphB4 antibodies for therapeutic intervention in breast cancer"*

**作者**:Saha, B., et al.

**摘要**:研究团队解析了EphB4抗体的表位结合机制,验证其通过阻断配体EphrinB2的结合抑制乳腺癌细胞迁移和侵袭的能力,并在临床前模型中展示了抗肿瘤转移的潜力。

3. **文献名称**:*"Targeting EphB4 with antibody-drug conjugates overcomes resistance to anti-angiogenic therapy"*

**作者**:Zhang, Y., et al.

**摘要**:该文献提出EphB4抗体偶联药物(ADC)可克服肿瘤对传统抗血管生成药物的耐药性,通过靶向递送细胞毒素,显著抑制卵巢癌模型中的肿瘤进展和血管异常增生。

背景信息

EphB4 antibody targets the EphB4 receptor, a member of the Eph (erythropoietin-producing hepatocellular) family of receptor tyrosine kinases. Eph receptors and their ephrin ligands play critical roles in cell-cell communication, regulating processes such as embryonic development, tissue patterning, and angiogenesis. EphB4 specifically binds to ephrin-B2. its primary ligand, forming bidirectional signaling pathways that influence cell adhesion, migration, and spatial organization. In physiological contexts, EphB4 is essential for vascular development, particularly in establishing arterial-venous boundaries during embryogenesis. However, its dysregulation is implicated in pathological conditions, especially cancer. EphB4 is frequently overexpressed in solid tumors (e.g., breast, lung, colorectal) and hematologic malignancies, where it promotes tumor angiogenesis, proliferation, and metastasis by modulating oncogenic signaling pathways (e.g., PI3K/AKT, MAPK) and the tumor microenvironment.

EphB4 antibodies, including monoclonal and polyclonal variants, are designed to block EphB4-ephrin-B2 interactions or inhibit downstream signaling. Preclinical studies demonstrate their potential to suppress tumor growth, disrupt vascular networks, and enhance chemotherapy or immunotherapy efficacy. Challenges include optimizing specificity to minimize off-target effects and overcoming resistance mechanisms. Current research focuses on antibody-drug conjugates (ADCs) and combination therapies to improve clinical outcomes. While several EphB4-targeting antibodies are in preclinical or early clinical trials, none have yet received regulatory approval, highlighting the need for further investigation into their therapeutic utility and safety profiles.

客户数据及评论

折叠内容

大包装询价

×