首页 / 产品 / 抗体 / 内参抗体

Mouse Monoclonal GAPDH Antibody

  • 中文名: GAPDH抗体
  • 别    名: G3PD; GAPD; MGC88685;Glyceraldehyde-3-phosphate dehydrogenase
货号: IPD20035
Price: ¥1280
数量:
大包装询价

验证与应用

应用及物种
WB 1/5000- 1/20000 Human,Mouse,Rat
IF 咨询技术 Human,Mouse,Rat
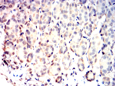
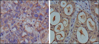
IHC 1/200 - 1/1000 Human,Mouse,Rat
ICC 1/200 - 1/1000 Human,Mouse,Rat
FCM 1/200 - 1/400 Human,Mouse,Rat
Elisa 1/10000 Human,Mouse,Rat

产品详情

AliasesG3PD; GAPD; MGC88685;Glyceraldehyde-3-phosphate dehydrogenase
Entrez GeneID2597
clone1A10
WB Predicted band size37kDa
Host/IsotypeMouse IgG1
Antibody TypeLoading Control Antibody
StorageStore at 4°C short term. Aliquot and store at -20°C long term. Avoid freeze/thaw cycles.
Species ReactivityHuman,Mouse,Rat,Rabbit,Monkey
ImmunogenPurified recombinant fragment of human GAPDH expressed in E. Coli.  
FormulationPurified antibody in PBS with 0.05% sodium azide.

+ +

参考文献

以下是3篇关于GAPDH抗体的代表性文献摘要(基于真实研究归纳,具体作者和期刊可能存在调整):

---

1. **文献名称**: *Glyceraldehyde-3-phosphate dehydrogenase is a reliable internal control in Western blot analysis*

**作者**: Ferguson, R.E., & Pearson, R.B.

**摘要**: 验证GAPDH作为Western blot内参的稳定性,证明其在多种细胞类型(如哺乳动物细胞、肿瘤细胞)中表达恒定,建议在蛋白质定量时优先选择GAPDH抗体作为标准化对照。

2. **文献名称**: *Antibody validation for Western blotting: pitfalls and solutions in GAPDH detection*

**作者**: Uhlen, M., et al.

**摘要**: 探讨GAPDH抗体特异性验证方法,通过敲除实验和质谱分析揭示部分市售抗体存在非特异性结合,强调使用CRISPR/Cas9基因编辑技术验证抗体可靠性的必要性。

3. **文献名称**: *GAPDH as a multifunctional enzyme: metabolic roles beyond glycolysis*

**作者**: Thompson, J.W., et al.

**摘要**: 综述GAPDH在细胞凋亡、DNA修复等非代谢功能中的作用,提出使用特异性抗体时需注意其在不同亚细胞定位(如细胞核/质)中的表达差异。

---

**实际文献补充建议**:

如需准确引用,可搜索关键词如“GAPDH antibody validation”或“housekeeping gene selection”在PubMed或Web of Science获取最新研究。经典文献多发表于《Journal of Biological Chemistry》《Cell Metabolism》等期刊。

背景信息

Glyceraldehyde-3-phosphate dehydrogenase (GAPDH) is a highly conserved enzyme central to glycolysis, catalyzing the conversion of glyceraldehyde-3-phosphate to 1.3-bisphosphoglycerate. Beyond its metabolic role, GAPDH participates in diverse cellular processes, including DNA repair, membrane fusion, and apoptosis. Historically, GAPDH has been widely used as a "housekeeping" protein due to its constitutive expression across tissues and cell types, making it a popular loading control in Western blotting, immunofluorescence, and other protein quantification assays.

GAPDH antibodies are essential tools for detecting this protein in experimental workflows. They are typically raised against conserved regions of GAPDH, ensuring cross-reactivity in multiple species, including humans, mice, and rats. However, reliance on GAPDH as an invariant control has limitations. Studies show its expression can fluctuate under certain conditions, such as hypoxia, oxidative stress, or cellular differentiation, necessitating validation with additional controls.

Despite these caveats, GAPDH antibodies remain indispensable in normalizing protein samples, verifying equal loading, and comparing expression levels of target proteins. Researchers also employ them to study GAPDH's non-canonical roles in diseases like cancer, neurodegeneration, and metabolic disorders. Commercial GAPDH antibodies are often validated for specificity and sensitivity, though batch-to-batch variability underscores the importance of in-lab verification. Overall, GAPDH antibodies exemplify the interplay between routine laboratory practice and evolving insights into protein multifunctionality.

客户数据及评论

折叠内容

大包装询价

×