| 经过测试的应用 | |
| WB | WB-1/500 - 1/2000 |
| IHC | IHC-1/200 - 1/1000 |
| FCM | FCM-1/200 - 1/400 |
| ELISA | ELISA-1/10000 |
| 反应物种 | Human, Mouse |
| 抗体类型 | Primary antibody |
| 宿主 | Mouse IgG1 |
| 基因名 | RUFY4 |
| 分子量 | 63.5 kDa |
| 形式 | Liquid |
| 存储缓冲液 | Buffer: PBS containing 50% glycerol, preserved with proclin300 or sodium azide (as specified on the Certificate of Analysis), pH 7.3 |
| 储存 | Store at 4°C short term. Aliquot and store at -20°C long term. Avoid freeze/thaw cycles. |

Black line: Control Antigen (100 ng);Purple line: Antigen (10ng); Blue line: Antigen (50 ng); Red line:Antigen (100 ng)
Western blot analysis using RUFY4 mouse mAb against mouse lung (1) lysate
Flow cytometric analysis of K562 cells using RUFY4 mouse mAb (green) and negative control (red)
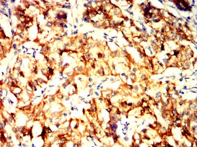
Immunohistochemical analysis of paraffin-embedded human kidney cancer tissues using RUFY4 mouse mAb with DAB staining
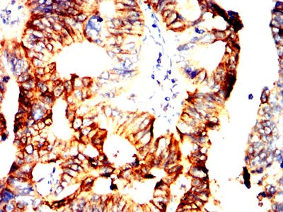
Immunohistochemical analysis of paraffin-embedded human rectum cancer tissues using RUFY4 mouse mAb with DAB staining
×