| 经过测试的应用 | |
| WB | WB-1/500 - 1/2000 |
| IHC | IHC-1/200 - 1/1000 |
| IF/ICC | IF/ICC-1/200 - 1/1000 |
| FCM | FCM-1/200 - 1/400 |
| ELISA | ELISA-1/10000 |
| 反应物种 | Human,Mouse |
| 抗体类型 | Primary antibody |
| 克隆性 | Monoclonal |
| 宿主 | Mouse IgG1 |
| 基因名 | PPARa |
| 分子量 | 50.4 kDa |
| 形式 | Liquid |
| 存储缓冲液 | Purified antibody in PBS with 0.05% sodium azide and 50% glycerol. |
| 储存 | Store at 4°C short term. Aliquot and store at -20°C long term. Avoid freeze/thaw cycles. |

Immunofluorescence analysis of NIH/3T3 cells using anti-PPARa mAb (green). Blue: DRAQ5 fluorescent DNA dye
Flow cytometric analysis of Jurkat cells using anti-PPARa mAb (green) and negative control (purple)
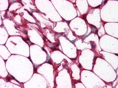
Immunohistochemical analysis of paraffin-embedded human Colon, Adipocytes tissues using anti-PPARa mouse mAb
×