| 经过测试的应用 | |
| WB | WB-1/500 - 1/2000 |
| IHC | IHC-1/200 - 1/1000 |
| FCM | FCM-1/200 - 1/400 |
| ELISA | ELISA-1/10000 |
| 反应物种 | Human |
| 抗体类型 | Primary antibody |
| 克隆性 | Monoclonal |
| 宿主 | Mouse IgG1 |
| 基因名 | SLC27A1 |
| 分子量 | 71.6 kDa |
| 形式 | Liquid |
| 存储缓冲液 | Purified antibody in PBS with 0.05% sodium azide and 50% glycerol. |
| 储存 | Store at 4°C short term. Aliquot and store at -20°C long term. Avoid freeze/thaw cycles. |

Black line: Control Antigen (100 ng); Purple line: Antigen(10ng); Blue line: Antigen (50 ng); Red line: Antigen (100 ng)
Western blot analysis using SLC27A1 mouse mAb against HUVE-12 (1), EVC-304 (2), HELA (3) and MCF-7 (4) cell lysate
Flow cytometric analysis of MCF-7 cells using SLC27A1 mouse mAb (green) and negative control (red)
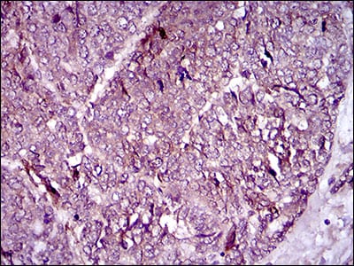
Immunohistochemical analysis of paraffin-embedded human liver cancer tissues using SLC27A1 mouse mAb with DAB staining
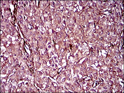
Immunohistochemical analysis of paraffin-embedded human esophageal cancer tissues using SLC27A1 mouse mAb with DAB staining
×