| 经过测试的应用 | |
| IHC | IHC- 1/200 - 1/1000 |
| FCM | FCM- 1/200 - 1/400 |
| ELISA | ELISA-1/10000 |
| 反应物种 | Human, Mouse, Rat, Rabbit |
| 抗体类型 | Primary antibody |
| 克隆性 | Monoclonal |
| 宿主 | Mouse IgG1 |
| 基因名 | ERBB3 |
| 形式 | Liquid |
| 存储缓冲液 | Purified antibody in PBS with 0.05% sodium azide and 50% glycerol. |
| 储存 | Store at 4°C short term. Aliquot and store at -20°C long term. Avoid freeze/thaw cycles. |

Flow cytometric analysis of Hela cells using ERBB3 mouse mAb (green) and negative control (red).
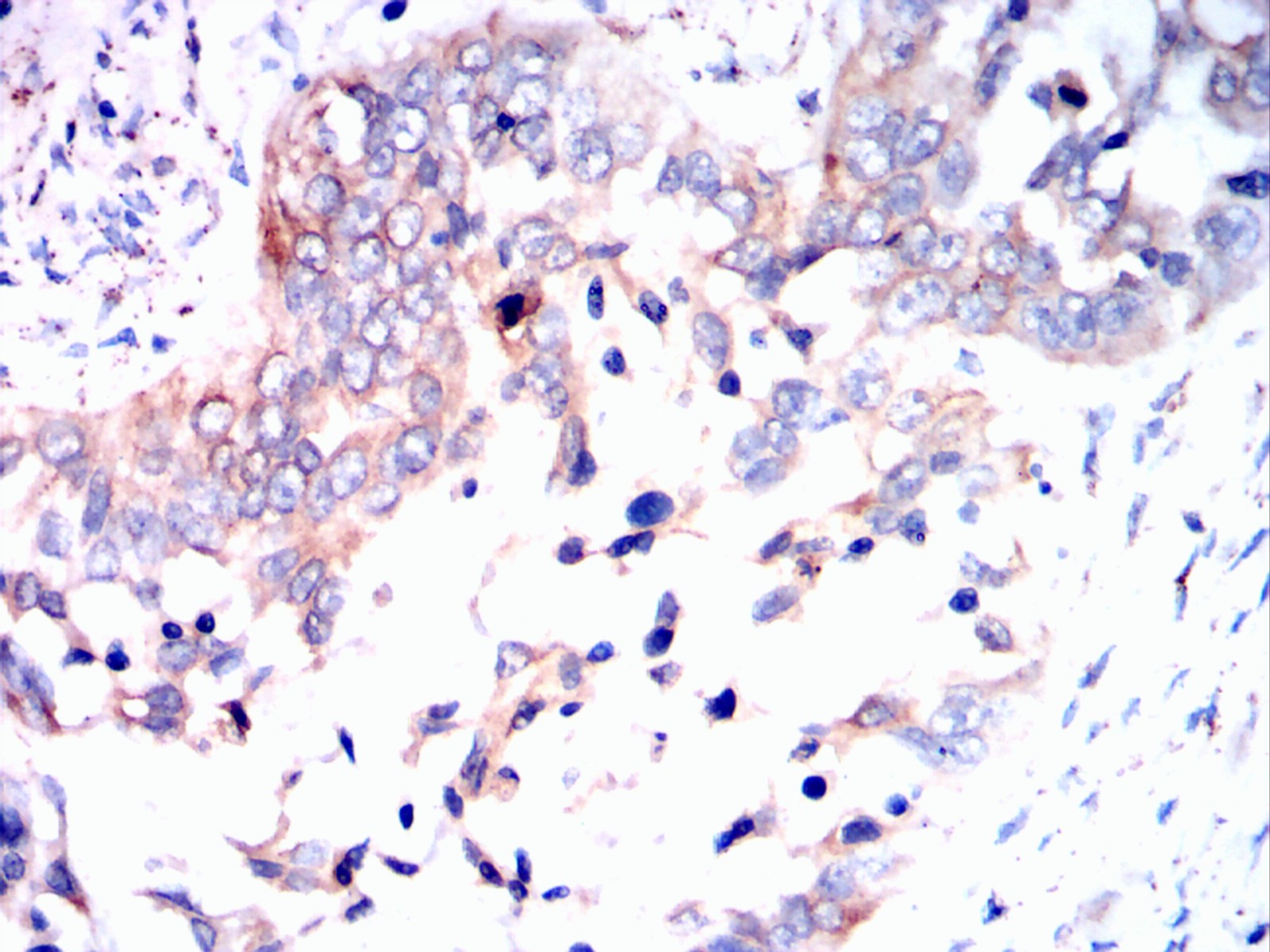
Immunohistochemical analysis of paraffin-embedded lung cancer tissues using ERBB3 mouse mAb with DAB staining.
Immunohistochemical analysis of paraffin-embedded lung cancer tissues using ERBB3 mouse mAb with DAB staining.
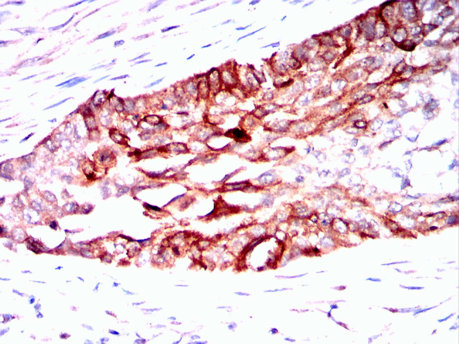
Immunohistochemical analysis of paraffin-embedded esophageal cancer tissues using ERBB3 mouse mAb with DAB staining.
Immunohistochemical analysis of paraffin-embedded esophagus tissues using mouse mAb with DAB staining.
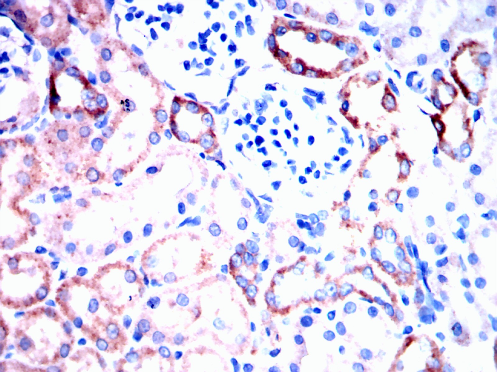
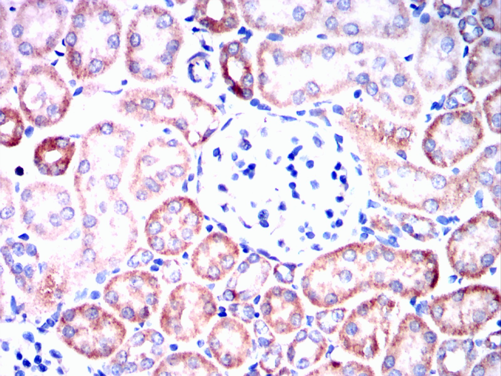
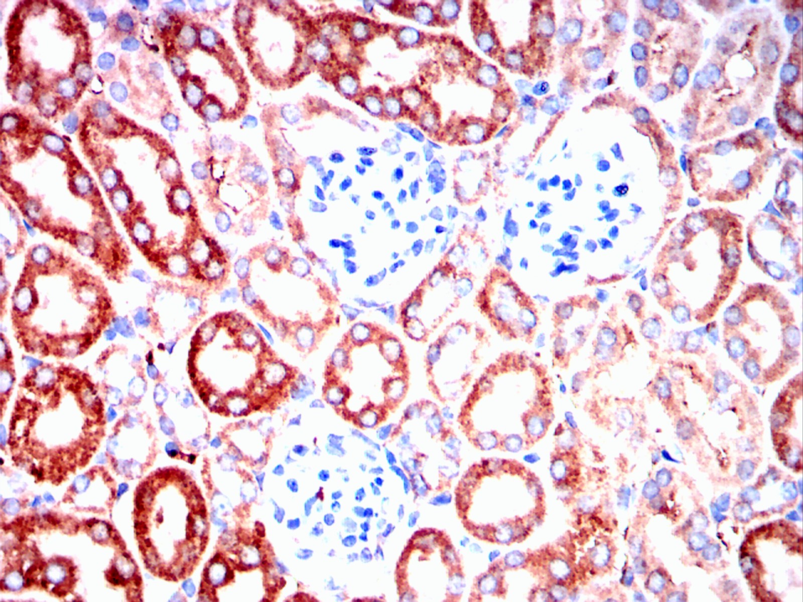
Immunohistochemical analysis of paraffin-embedded mouse kidney tissues using ERBB3 mouse mAb with DAB staining.
Immunohistochemical analysis of paraffin-embedded rat kidney tissues using ERBB3 mouse mAb with DAB staining.
Immunohistochemical analysis of paraffin-embedded rabbit kidney tissues using ERBB3 mouse mAb with DAB staining.
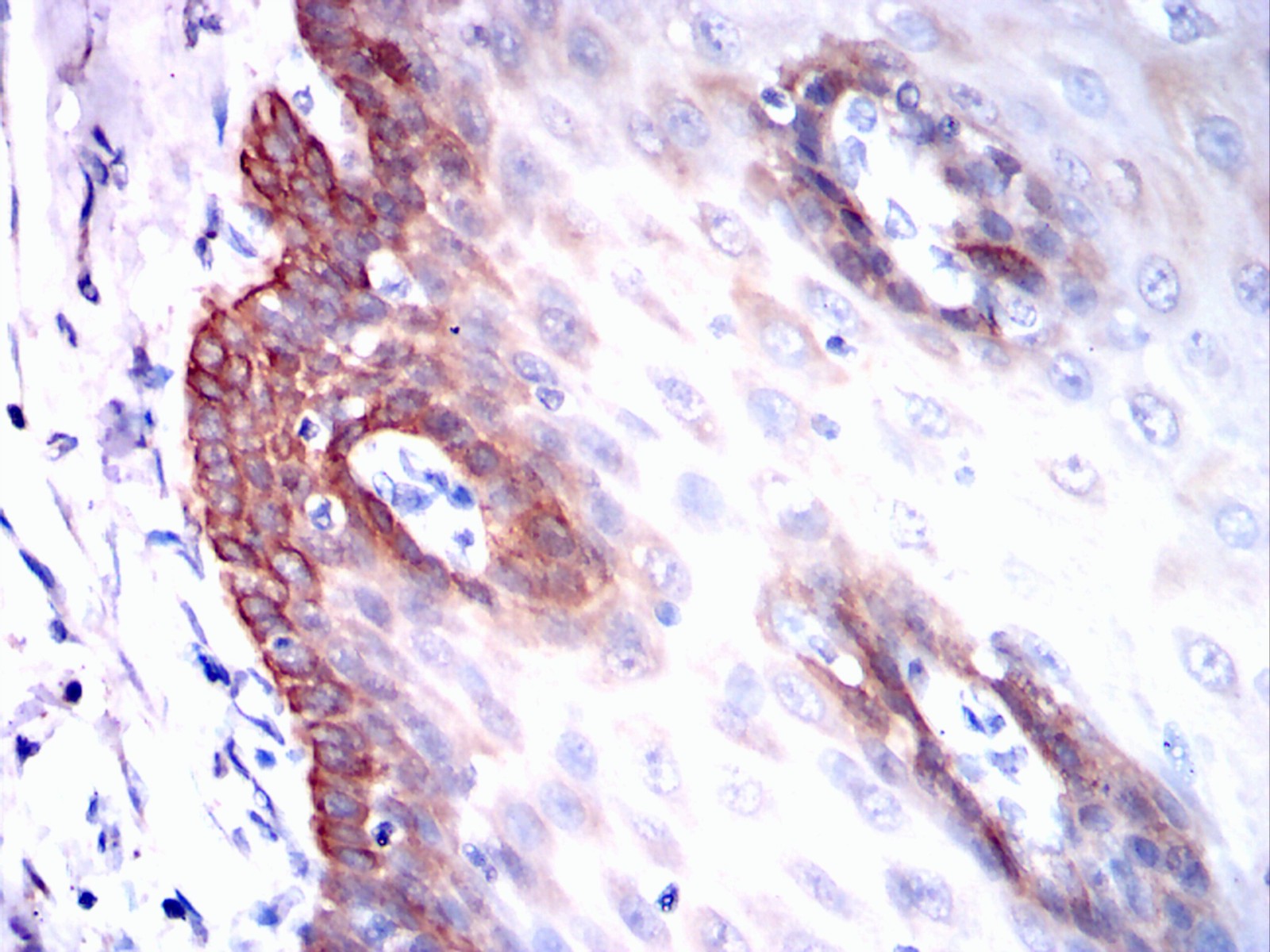
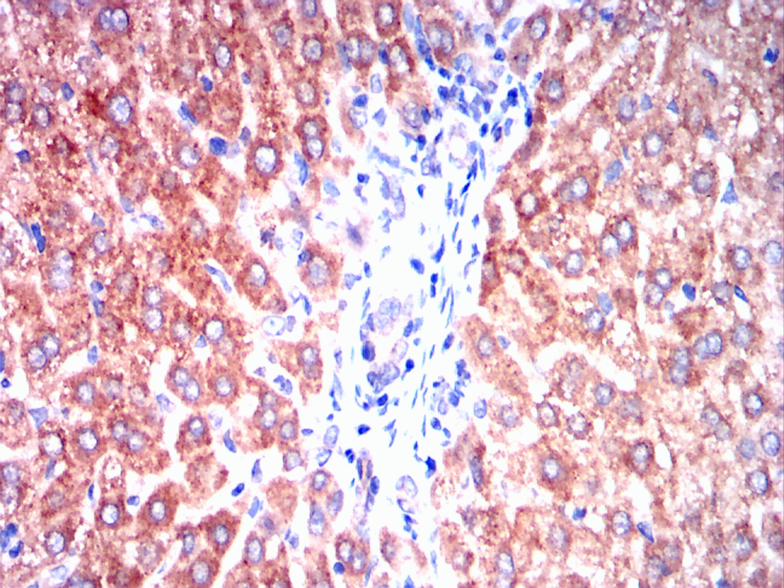
Immunohistochemical analysis of paraffin-embedded rabbit liver tissues using ERBB3 mouse mAb with DAB staining.
×