| 经过测试的应用 | |
| WB | WB-1:500-2000 |
| IHC-P | IHC-P-1:100-500 |
| IF-tissue | IF-tissue-1:100-500 |
| 反应物种 | Human, Mouse |
| 抗体类型 | Rabbit Polyclonal Antibody |
| 形态 | Liquid |
| 免疫原 | KLH conjugated synthetic peptide derived from human OIT3 1-100/545 |
| 阳性对照 | Liver-specific. Expressed only in the hepatocytes. Down-regulated in hepatocellular carcinoma (HCC) and HCC cell lines. |
| 纯化方式 | Protein A affinity purified |
| 基因名 | OIT3 |
| 偶联 | unconjugated |
| 分子量 | 51 kDa |
| 形式 | Liquid |
| 存储缓冲液 | 0.01M TBS(pH7.4) with 1% BSA, 0.03% Proclin300 and 50% Glycerol. |
| 储存 | Store at 4°C short term. Aliquot and store at -20°C long term. Avoid freeze/thaw cycles. |

Liver (Mouse) Lysate at 40 ug
Primary: Anti-OIT3at 1/300 dilution
Secondary: Goat Anti-Rabbit IgG at 1/20000 dilution
Predicted band size: 51 kD
Observed band size: 51 kD

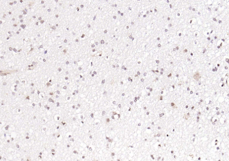
Paraformaldehyde-fixed, paraffin embedded (human glioma); Antigen retrieval by boiling in sodium citrate buffer (pH6.0) for 15min; Block endogenous peroxidase by 3% hydrogen peroxide for 20 minutes; Blocking buffer (normal goat serum) at 37°C for 30min; Incubation with (OIT3) Polyclonal Antibody, Unconjugatedat 1:200 overnight at 4°C, followed by operating according to SP Kit(Rabbit)instructionsand DAB staining.

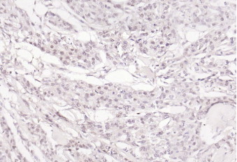
Paraformaldehyde-fixed, paraffin embedded (human skin cancer); Antigen retrieval by boiling in sodium citrate buffer (pH6.0) for 15min; Block endogenous peroxidase by 3% hydrogen peroxide for 20 minutes; Blocking buffer (normal goat serum) at 37°C for 30min; Incubation with (OIT3) Polyclonal Antibody, Unconjugatedat 1:200 overnight at 4°C, followed by operating according to SP Kit(Rabbit)instructionsand DAB staining.
×