| 经过测试的应用 | |
| WB | WB-1/500 - 1/2000 |
| IHC | IHC- 1/100 - 1/500 |
| IF/ICC | IF/ICC-1/50 - 1/500 |
| FCM | FCM-1/200 - 1/400 |
| ELISA | ELISA-1/10000 |
| 反应物种 | Human,Mouse,Rat,Rabbit |
| 抗体类型 | Primary antibody |
| 克隆性 | Monoclonal |
| 宿主 | Mouse IgG1 |
| 基因名 | EBF1 |
| 分子量 | 66.2 kDa |
| 形式 | Liquid |
| 存储缓冲液 | Purified antibody in PBS with 0.05% sodium azide and 50% glycerol. |
| 储存 | Store at 4°C short term. Aliquot and store at -20°C long term. Avoid freeze/thaw cycles. |

Western blot analysis using EBF1 mouse mAb against MOLT4 (1), Raji (2), MCF-7 (3), T47D (4), SK-Br-3 (5), Hela (6), and C6 (7) cell lysate.
Western blot analysis using EBF1 mouse mAb against PC-12(1)Raw264.7(2)NIH/3T3(3)NRK(4)C2C12(5)C6(6)L1210(7)F9(8)COS-7(9) cell lysate.
Immunofluorescence analysis of Hela cells using EBF1 mouse mAb. Blue: DRAQ5 fluorescent DNA dye. Red: Actin filaments have been labeled with Alexa Fluor- 555 phalloidin.
Immunofluorescence analysis of Hela cells using EBF1 mouse mAb (green). Blue: DRAQ5 fluorescent DNA dye. Red: Actin filaments have been labeled with Alexa Fluor- 555 phalloidin. Secondary antibody from Fisher
Immunofluorescence analysis of Hela cells using EBF1 mouse mAb (green). Blue: DRAQ5 fluorescent DNA dye. Red: Actin filaments have been labeled with Alexa Fluor- 555 phalloidin.
Immunofluorescence analysis of COS7 cells using EBF1 mouse mAb (green). Blue: DRAQ5 fluorescent DNA dye. Red: Actin filaments have been labeled with Alexa Fluor- 555 phalloidin.
Flow cytometric analysis of Hela cells using EBF1 mouse mAb (green) and negative control (red).
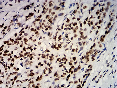
Immunohistochemical analysis of paraffin-embedded human breast cancer tissues using EBF1 mouse mAb with DAB staining.
Immunohistochemical analysis of paraffin-embedded Mouse testicles(A)Mouse kidney(B)Mouse cerebellum(C) using EBF1 mouse mAb with DAB staining.
Immunohistochemical analysis of paraffin-embedded Rat testicles(A)Rat kidney(B)Rat cerebellum(C) using EBF1 mouse mAb with DAB staining.
Immunohistochemical analysis of paraffin-embedded Rabbit testicles(A)Rabbit cerebellum(B)Rabbit kidney(C) using EBF1 mouse mAb with DAB staining.
×