| 经过测试的应用 | |
| WB | WB-1/500 - 1/2000 |
| IHC | IHC-1/200 - 1/1000 |
| IF/ICC | IF/ICC-1/200 - 1/1000 |
| FCM | FCM-1/200 - 1/400 |
| 反应物种 | Human,Mouse,Rat,Monkey |
| SwissProt ID | Q96LI5 |
| 抗体类型 | Primary antibody |
| 克隆性 | Monoclonal |
| 宿主 | Mouse IgG1 |
| 基因名 | CNO6L |
| 分子量 | 64kDa |
| 形式 | Liquid |
| 存储缓冲液 | Purified antibody in PBS with 0.05% sodium azide and 50% glycerol. |
| 储存 | Store at 4°C short term. Aliquot and store at -20°C long term. Avoid freeze/thaw cycles. |

Western blot analysis using CNO6L mouse mAb against Jurkat (1), Hela (2), HepG2 (3), MCF-7 (4), Cos7 (5), NIH/3T3 (6), K562 (7), HEK293 (8), and PC-12 (9) cell lysate.
Western blot analysis using CNO6L mouse mAb against COS7(1),C2C12(2),NIH/3T3(3) cell lysate.
Immunofluorescence analysis of NTERA-2 cells using CNO6L mouse mAb (green). Blue: DRAQ5 fluorescent DNA dye. Red: Actin filaments have been labeled with Alexa Fluor-555 phalloidin.
Flow cytometric analysis of PC-2 cells using CNO6L mouse mAb (green) and negative control (purple).
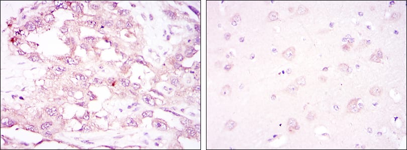
Immunohistochemical analysis of paraffin-embedded human ovarian cancer (left) and brain tissues (right) using CNO6L mouse mAb with DAB staining.
×