| 经过测试的应用 | |
| WB | WB-1:500-1:2000 |
| IP | IP- 0.5-4.0 ug for 1.0-3.0 mg of total protein lysate |
| IHC | IHC-1:20-1:200 |
| 反应物种 | human, mouse, rat |
| SwissProt ID | Q96EY1 |
| 偶联类型 | Unconjugated |
| 形式 | Liquid |
| 纯化方式 | Antigen affinity purification |
| 克隆性 | Polyclonal |
| 宿主 | Rabbit / IgG |
| 基因名 | TID1 |
| 分子量 | 53kDa |
| 形式 | Liquid |
| 存储缓冲液 | PBS with 0.02% sodium azide and 50% glycerol, pH 7.3. |
| 储存 | Store at -20°C. Stable for one year after shipment |

Jurkat cells were subjected to SDS PAGE followed by western blot with (TID1 antibody) at dilution of 1:1000 incubated at room temperature for 1.5 hours.

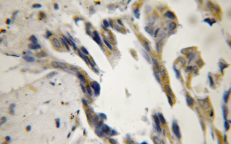
Immunohistochemical analysis of paraffin-embedded human lung cancer using
(TID1 antibody) at dilution of 1:50 (under 40x lens).

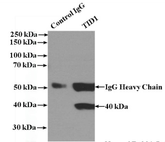
IP result of anti-TID1 (IP:11088-1-AP, 4ug; Detection:11088-1-AP 1:500) with K-562 cells lysate 3200ug.
×