| 经过测试的应用 | |
| WB | WB-1/500 - 1/2000 |
| IHC | IHC-1/200 - 1/1000 |
| ELISA | ELISA-1/10000 |
| FCM | FCM-1/200 - 1/400 |
| 反应物种 | Human,Mouse,Rat,Rabbit |
| SwissProt ID | P21854 |
| 抗体类型 | Primary antibody |
| 克隆性 | Monoclonal |
| 宿主 | Mouse IgG1 |
| 基因名 | CD72 |
| 分子量 | 40kDa |
| 形式 | Liquid |
| 存储缓冲液 | Purified antibody in PBS with 0.05% sodium azide and 50% glycerol. |
| 储存 | Store at 4°C short term. Aliquot and store at -20°C long term. Avoid freeze/thaw cycles. |

Black line: Control Antigen (100 ng); Purple line: Antigen(10ng); Blue line: Antigen (50 ng); Red line: Antigen (100 ng)
Western blot analysis using CD72 mouse mAb against HepG2 (1), A549 (2), HL60 (3), RAW264.7 (4), Hela (5), HEK293 (6) and NIH/3T3 (7) cell lysate.
Flow cytometric analysis of Jurkat cells using CD72 mouse mAb (green) and negative control (red).
Flow cytometric analysis of COS7 cells using CD72 mouse mAb (green) and negative control (red).
Flow cytometric analysis of Hela cells using CD72 mouse mAb (green) and negative control (red).
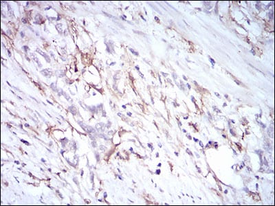
Immunohistochemical analysis of paraffin-embedded human stomach cancer tissues using CD72 mouse mAb with DAB staining.
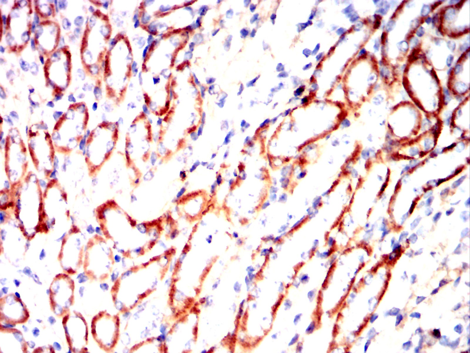
Immunohistochemical analysis of paraffin-embedded Mouse kidney using CD72 mouse mAb with DAB staining.
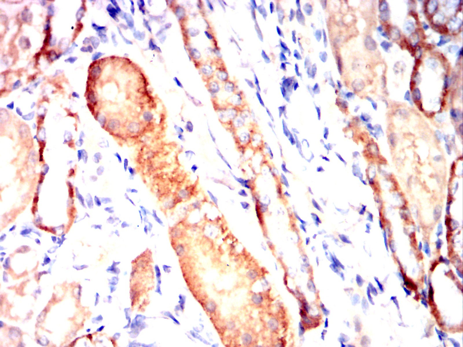
Immunohistochemical analysis of paraffin-embedded Rat kidney using CD72 mouse mAb with DAB staining.
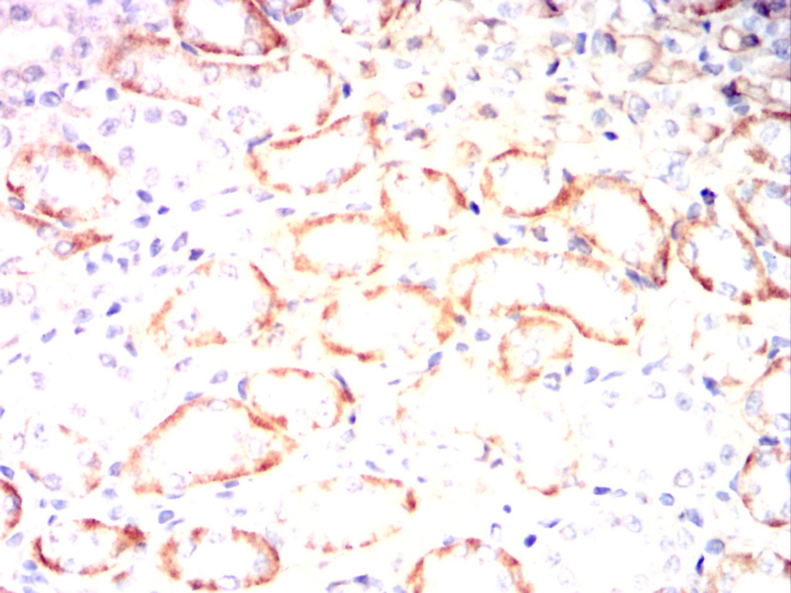
Immunohistochemical analysis of paraffin-embedded Rabbit kidney using CD72 mouse mAb with DAB staining.
×