
Western blot analysis using IRF3 mouse mAb against THP-1 (1), Hela (2), A549 (3), MCF-7 (4), K562 (5), Jurkat (6) and A431 (7) cell lysate.
Flow cytometric analysis of Hela cells using IRF3 mouse mAb (green) and negative control (red).
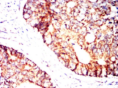
Immunohistochemical analysis of paraffin-embedded human bladder cancer tissues using IRF3 mouse mAb with DAB staining.
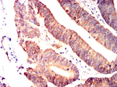
Immunohistochemical analysis of paraffin-embedded human colon cancer tissues using IRF3 mouse mAb with DAB staining.
Immunohistochemical analysis of paraffin-embedded human ovarian cancer tissues using IRF3 mouse mAb with DAB staining.
Immunohistochemical analysis of paraffin-embedded human rectum cancer tissues using IRF3 mouse mAb with DAB staining.
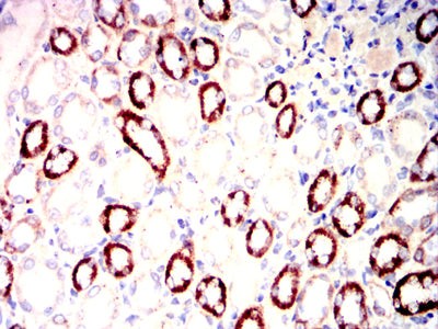
Immunohistochemical analysis of paraffin-embedded mouse kidney tissues using IRF3 mouse mAb with DAB staining.
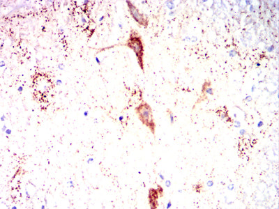
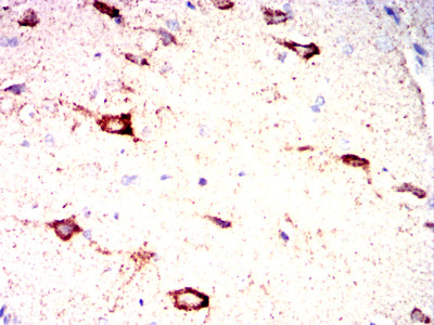
Immunohistochemical analysis of paraffin-embedded mouse brain tissues using IRF3 mouse mAb with DAB staining.
Immunohistochemical analysis of paraffin-embedded rat kidney tissues using IRF3 mouse mAb with DAB staining.
Immunohistochemical analysis of paraffin-embedded rat brain tissues using IRF3 mouse mAb with DAB staining.
×