| 经过测试的应用 | |
| WB | WB-1/500 - 1/2000 |
| IHC | IHC-1/100 - 1/500 |
| FCM | FCM-1/200 - 1/400 |
| 反应物种 | Human,Mouse,Rat,Rabbit |
| SwissProt ID | Q9HCG7 |
| 抗体类型 | Primary antibody |
| 克隆性 | Monoclonal |
| 宿主 | Mouse IgG1 |
| 基因名 | GBA2 |
| 分子量 | 102kDa |
| 形式 | Liquid |
| 存储缓冲液 | Purified antibody in PBS with 0.05% sodium azide and 50% glycerol. |
| 储存 | Store at 4°C short term. Aliquot and store at -20°C long term. Avoid freeze/thaw cycles. |

Western blot analysis using GBA2 mouse mAb against Jurkat (1), Hela (2) and HEK293 (3) cell lysate.
Western blot analysis using GBA2 mouse mAb against C2C12(1)HEK293 (2) Jurkat(3) cell lysate.
Flow cytometric analysis of GBA2 cells using GBA2 mouse mAb (green) and negative control (purple).
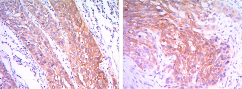
Immunohistochemical analysis of paraffin-embedded human esophagus cancer tissues (left) and human lung cancer (right) using GBA2 mouse mAb with DAB staining.
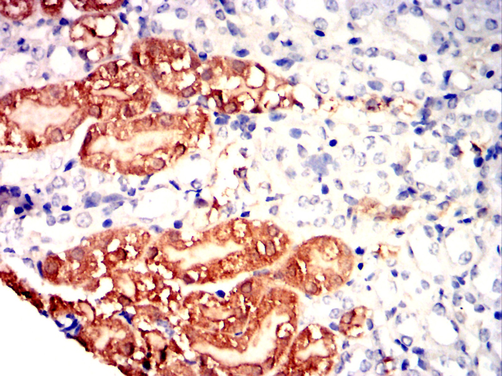
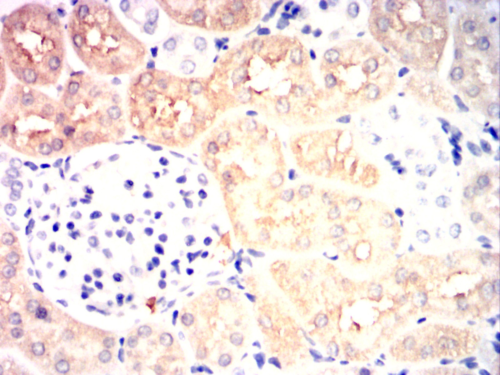
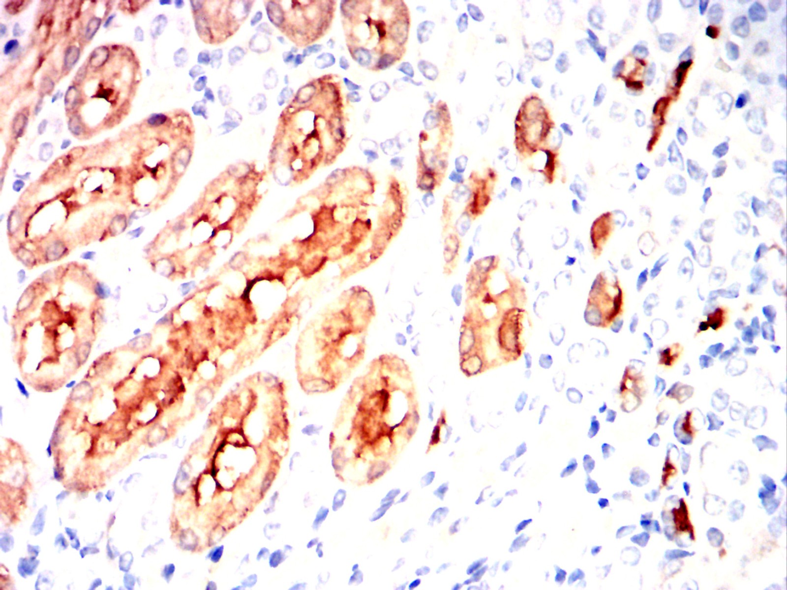
Immunohistochemical analysis of paraffin-embedded Mouse kidney using GBA2 mouse mAb with DAB staining.
Immunohistochemical analysis of paraffin-embedded Rat kidney using GBA2 mouse mAb with DAB staining.
Immunohistochemical analysis of paraffin-embedded Rabbit kidney using GBA2 mouse mAb with DAB staining.
×