| 经过测试的应用 | |
| WB | WB-1/500 - 1/2000 |
| IHC | IHC-1/200 - 1/1000 |
| IF/ICC | IF/ICC-1/200 - 1/1000 |
| FCM | FCM-1/200 - 1/400 |
| 反应物种 | Human,Mouse,Rat,Rabbit,Monkey |
| SwissProt ID | P16234 |
| 抗体类型 | Primary antibody |
| 克隆性 | Monoclonal |
| 宿主 | Mouse IgG1 |
| 基因名 | PDGFRA |
| 分子量 | 120kDa |
| 形式 | Liquid |
| 存储缓冲液 | Purified antibody in PBS with 0.05% sodium azide and 50% glycerol. |
| 储存 | Store at 4°C short term. Aliquot and store at -20°C long term. Avoid freeze/thaw cycles. |

Western blot analysis using PDGFRA mouse mAb against MCF-7 (1), Jurkat (2), Hela (3), HEK293 (4) and A549 (5) cell lysate.
Western blot analysis using PDGFRA mouse mAb against L1210(1),F9,(2),Hela(3) cell lysate.
Immunofluorescence analysis of NTERA-2 cells using PDGFRA mouse mAb (green). Red: Actin filaments have been labeled with Alexa Fluor-555 phalloidin.
Flow cytometric analysis of K562 cells using PDGFRA mouse mAb (green) and negative control (purple).
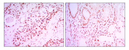
Immunohistochemical analysis of paraffin-embedded human lung cancer tissues (left) and kidney cancer tissues (right) using PDGFRA mouse mAb with DAB staining.
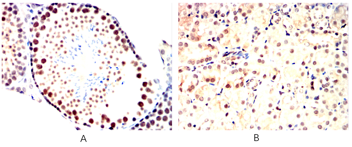
Immunohistochemical analysis of paraffin-embedded Mouse testis(A)Mouse kidney(B) using PDGFRA mouse mAb with DAB staining.
Immunohistochemical analysis of paraffin-embedded Rat spleen(A)Rat liver(B) using PDGFRA mouse mAb with DAB staining.
Immunohistochemical analysis of paraffin-embedded Rabbit spleen(A)Rabbit liver(B) using PDGFRA mouse mAb with DAB staining.
×