| 经过测试的应用 | |
| WB | WB-1/500 - 1/2000 |
| IF/ICC | IF/ICC-1/50 - 1/500 |
| IHC | IHC-1/100 - 1/500 |
| FCM | FCM-1/200 - 1/400 |
| 反应物种 | Human,Mouse,Rat,Rabbit,Monkey |
| SwissProt ID | Q5GH76 |
| 抗体类型 | Primary antibody |
| 克隆性 | Monoclonal |
| 宿主 | Mouse IgG1 |
| 基因名 | XKR4 |
| 分子量 | 72kDa |
| 形式 | Liquid |
| 存储缓冲液 | Purified antibody in PBS with 0.05% sodium azide and 50% glycerol. |
| 储存 | Store at 4°C short term. Aliquot and store at -20°C long term. Avoid freeze/thaw cycles. |

Western blot analysis using XKR4 mouse mAb against NIH/3T3 (1) and Cos7 (2) cell lysate.
Immunofluorescence analysis of Hela cells using XKR4 mouse mAb (green). Blue: DRAQ5 fluorescent DNA dye. Red: Actin filaments have been labeled with Alexa Fluor-555 phalloidin.
Flow cytometric analysis of HepG2 cells using XKR4 mouse mAb (green) and negative control (purple).
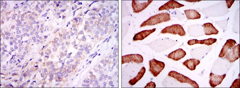
Immunohistochemical analysis of paraffin-embedded human bladder cancer tissues (left) and skeletal muscle tissues (right) using XKR4 mouse mAb with DAB staining.
Immunohistochemical analysis of paraffin-embedded Mouse muscle using XKR4 mouse mAb with DAB staining.
Immunohistochemical analysis of paraffin-embedded Rat muscle using XKR4 mouse mAb with DAB staining.
Immunohistochemical analysis of paraffin-embedded Rabbit muscle using XKR4 mouse mAb with DAB staining.
×