| 经过测试的应用 | |
| WB | WB-1/500 - 1/2000 |
| IHC | IHC-1/200 - 1/1000 |
| ELISA | ELISA-1/10000 |
| 反应物种 | Human,Monkey |
| SwissProt ID | Q8TEA7 |
| 抗体类型 | Primary antibody |
| 克隆性 | Monoclonal |
| 宿主 | Mouse IgG1 |
| 基因名 | TBCK |
| 分子量 | 100kDa |
| 形式 | Liquid |
| 存储缓冲液 | Purified antibody in PBS with 0.05% sodium azide and 50% glycerol. |
| 储存 | Store at 4°C short term. Aliquot and store at -20°C long term. Avoid freeze/thaw cycles. |

Western blot analysis using TBCK mouse mAb against A431 (1), Hela (2) and HEK293 (3) cell lysate.
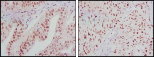
Immunohistochemical analysis of paraffin-embedded human ovarian cancer (left) and breast cancer (right) tissues using TBCK mouse mAb with DAB staining.
×