| 经过测试的应用 | |
| WB | WB-1/1000-5000 |
| IP | IP-1/50-200 |
| IHC | IHC-1/400-1000 |
| ELISA | ELISA-1/5000-20000 |
| 反应物种 | Human,Mouse,Rat |
| SwissProt ID | P0DMV8;P0DMV9 |
| 抗体类型 | Primary antibody |
| 克隆性 | Monoclonal |
| 宿主 | Rabbit IgG |
| 基因名 | Hsp70 |
| 分子量 | 70kD |
| 形式 | Liquid |
| 存储缓冲液 | Purified antibody in PBS with 0.05% sodium azide and 50% glycerol. |
| 储存 | Store at 4°C short term. Aliquot and store at -20°C long term. Avoid freeze/thaw cycles. |

Western blot analysis of lysates from A172 cells, using Hsp70 Rabbit mAb. The HRP-conjugated Goat anti-Rabbit IgG antibody (RS0002,immunoway) was used to detect the antibody.
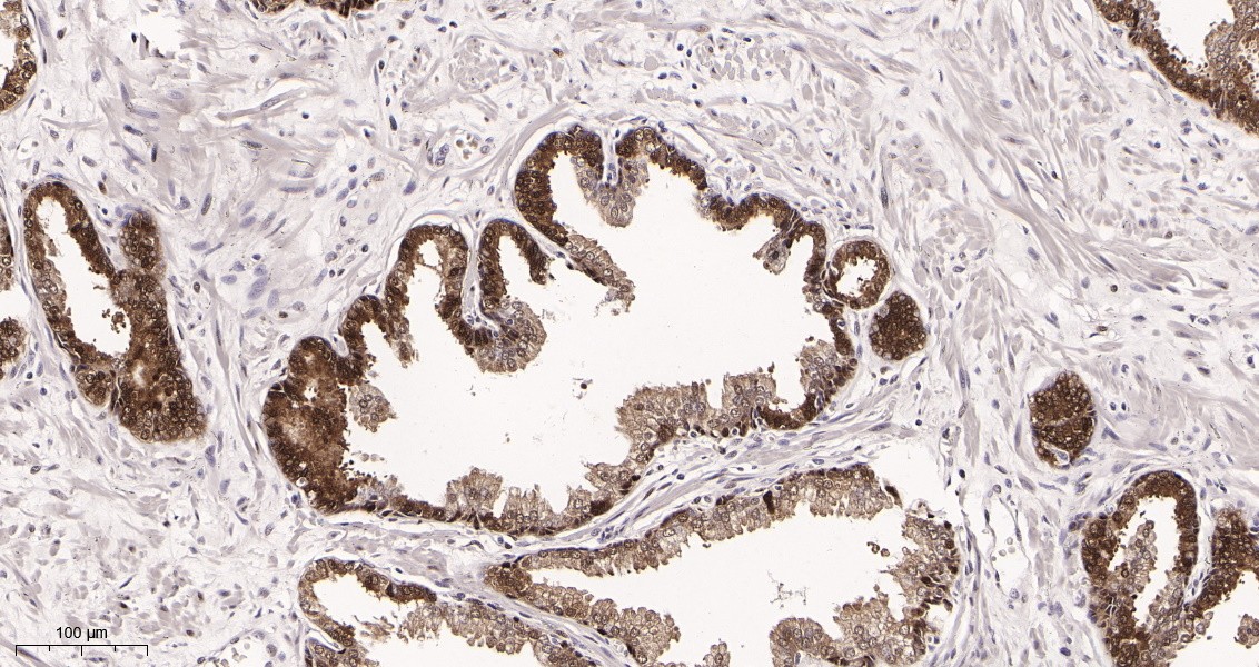
Immunohistochemical analysis of paraffin-embedded Human prostate tissue. 1, primary Antibody was diluted at 1:200(4~C,overnight). 2, EDTA pH 9.0 was used for antibody retrieval(>98~C,20min). 3,Secondary antibody was diluted at 1:200(room tempeRature, 30min).
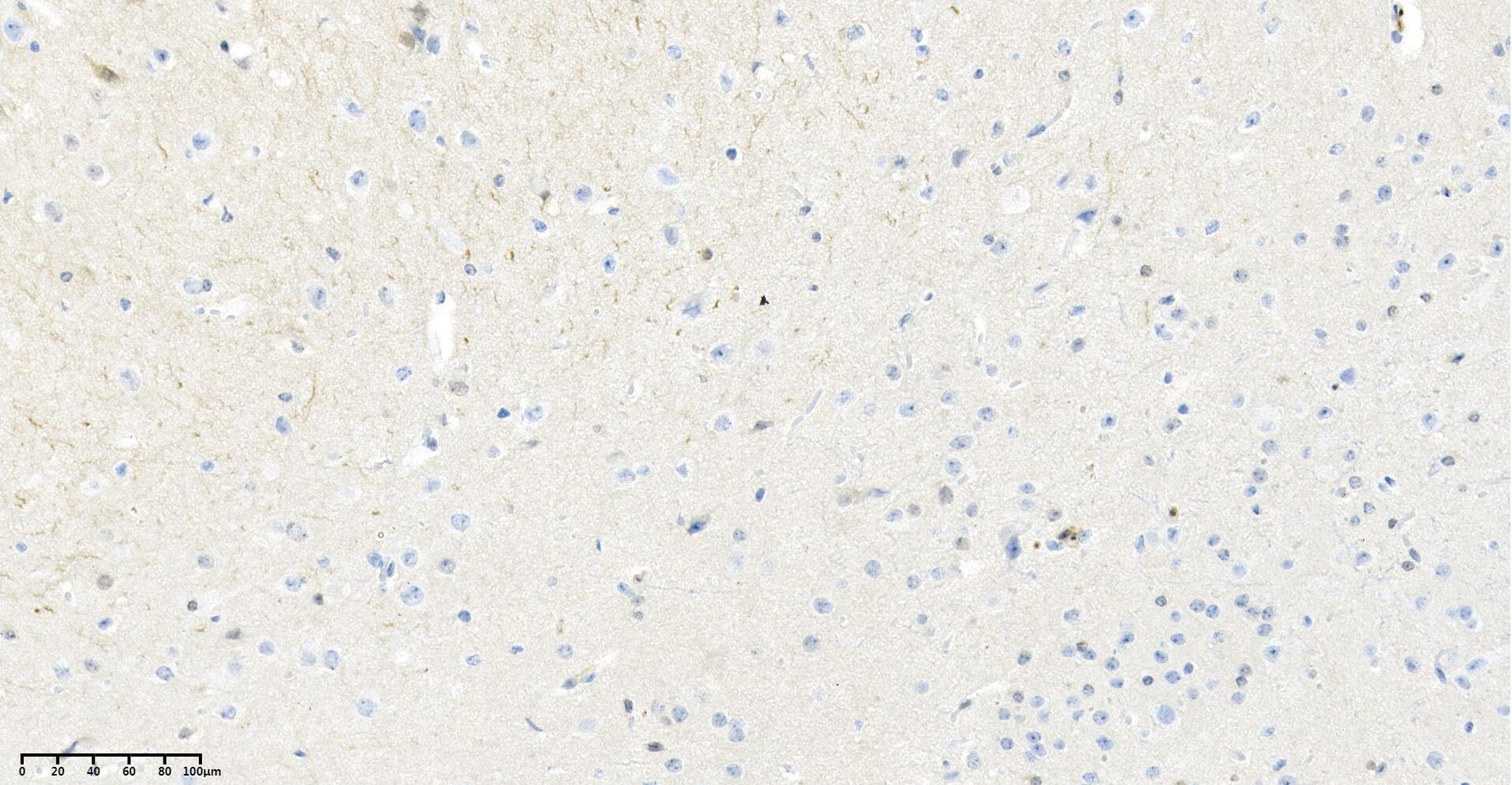
Immunohistochemical analysis of paraffin-embedded mouse brain tissue. 1, primary Antibody was diluted at 1:200(4~C,overnight). 2, EDTA pH 9.0 was used for antibody retrieval(>98~C,20min). 3,Secondary antibody was diluted at 1:200(room tempeRature, 30min).
Mouse_brain
×