| 经过测试的应用 | |
| WB | WB-1/500 - 1/2000 |
| IHC | IHC-1/200-1/1000 |
| IF/ICC | IF/ICC-1/50 - 1/200 |
| FCM | FCM-1/200 - 1/400 |
| 反应物种 | Human, Mouse |
| SwissProt ID | O60218 |
| 抗体类型 | Primary antibody |
| 免疫原 | Purified recombinant fragment of human AKR1B10 (AA:1-312) expressed in E. Coli. |
| 克隆性 | Monoclonal |
| 宿主 | Mouse IgG1 |
| 基因名 | AKR1B10 |
| 分子量 | 35 kDa |
| 形式 | Liquid |
| 存储缓冲液 | Purified antibody in PBS with 0.05% sodium azide and 50% glycerol. |
| 储存 | Store at 4°C short term. Aliquot and store at -20°C long term. Avoid freeze/thaw cycles. |

Western blot analysis using AKR1B10 mouse mAb against Hela (1), HepG2 (2), MCF-7 (3), HEK293 (4), mouse liver (5) and mouse kidney (6) cell lysate.
Immunofluorescence analysis of Hala cells using AKR1B10 mouse mAb (green). Blue: DRAQ5 fluorescent DNA dye. Red: Actin filaments have been labeled with Alexa Fluor- 555 phalloidin. Secondary antibody from Fisher
Flow cytometric analysis of HEK293 cells using AKR1B10 mouse mAb (green) and negative control (red).
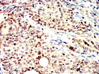
Immunohistochemical analysis of paraffin-embedded human cervical cancer tissues using AKR1B10 mouse mAb with DAB staining.
Immunohistochemical analysis of paraffin-embedded human colon cancer tissues using AKR1B10 mouse mAb with DAB staining.
×