| 经过测试的应用 | |
| WB | WB-1:1000-2000 |
| IHC-P/IHC-F | IHC-P/IHC-F-1:50 |
| IF-P/IF-F/IF-ICC | IF-P/IF-F/IF-ICC-1:50 |
| FCM | FCM -1:100 |
| 免疫原 | Full length human recombinant protein of human TRIB2 produced in HEK293T cell. |
| 反应物种 | Human,Mouse |
| 抗体类型 | Mouse Monoclonal antibody |
| 克隆性 | Monoclonal |
| 基因名 | TRIB2 |
| 形态 | Liquid |
| 分子量 | 38.8k Da |
| 背景介绍 | This gene encodes one of three members of the Tribbles family. The Tribbles members share a Trb domain, which is homologous to protein serine-threonine kinases, but lacks the active site lysine and probably lacks a catalytic function. The Tribbles proteins interact and modulate the activity of signal transduction pathways in a number of physiological and pathological processes. This Tribbles member induces apoptosis of cells mainly of the hematopoietic origin. It has been identified as a protein up-regulated by inflammatory stimuli in myeloid (THP-1) cells, and also as an oncogene that inactivates the transcription factor C/EBPalpha (CCAAT/enhancer-binding protein alpha) and causes acute myelogenous leukemia. Alternatively spliced transcript variants have been found for this gene. |
| 形式 | Liquid |
| 存储缓冲液 | Purified antibody in PBS with 0.05% sodium azide and 50% glycerol. |
| 储存 | Store at 4°C short term. Aliquot and store at -20°C long term. Avoid freeze/thaw cycles. |

Western blot analysis of extracts from 9 different cell lines by using anti-TRIB2 monoclonal antibody.

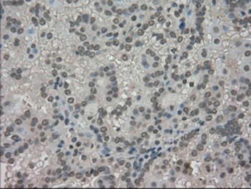
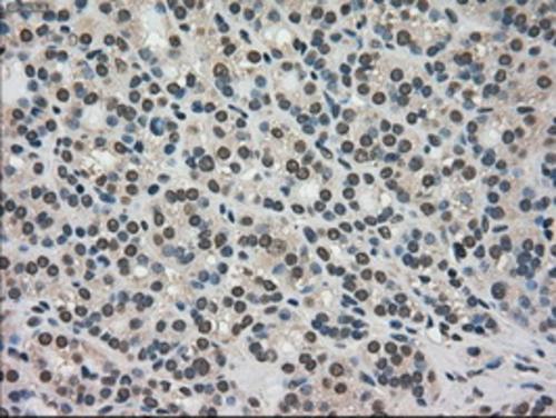
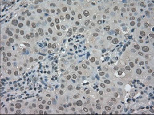
Immunohistochemical staining of paraffin-embedded Carcinoma of Human kidney tissue using anti-TRIB2 mouse monoclonal antibody. Heat-induced epitope retrieval by 10mM citric buffer, pH6.0, 100°C for 10min

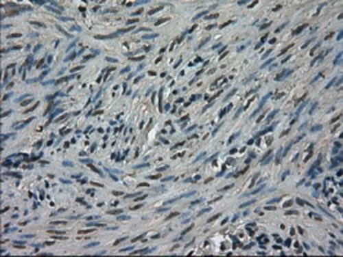
Immunohistochemical staining of paraffin-embedded Human endometrium tissue within the normal limits using anti-TRIB2 mouse monoclonal antibody. Heat-induced epitope retrieval by 10mM citric buffer, pH6.0, 100°C for 10min

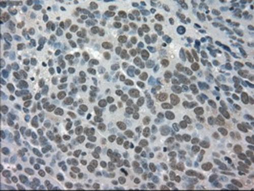
Immunohistochemical staining of paraffin-embedded Carcinoma of Human thyroid tissue using anti-TRIB2 mouse monoclonal antibody. Heat-induced epitope retrieval by 10mM citric buffer, pH6.0, 100°C for 10min

Immunohistochemical staining of paraffin-embedded Adenocarcinoma of Human colon tissue using anti-TRIB2 mouse monoclonal antibody. Heat-induced epitope retrieval by 10mM citric buffer, pH6.0, 100°C for 10min

Immunofluorescent staining of COS7 cells using anti-TRIB2 mouse monoclonal antibody

HEK293T cells transfected with either overexpress plasmid (Red) or empty vector control plasmid (Blue) were immunostained by anti-TRIB2 antibody , and then analyzed by flow cytometry.

Immunohistochemical staining of paraffin-embedded Adenocarcinoma of Human breast tissue using anti-TRIB2 mouse monoclonal antibody. Heat-induced epitope retrieval by 10mM citric buffer, pH6.0, 100°C for 10min

Immunohistochemical staining of paraffin-embedded Adenocarcinoma of Human ovary tissue using anti-TRIB2 mouse monoclonal antibody. Heat-induced epitope retrieval by 10mM citric buffer, pH6.0, 100°C for 10min

Immunohistochemical staining of paraffin-embedded Carcinoma of Human bladder tissue using anti-TRIB2 mouse monoclonal antibody. Heat-induced epitope retrieval by 10mM citric buffer, pH6.0, 100°C for 10min

HEK293T cells were transfected with the pCMV6-ENTRY control (Left lane) or pCMV6-ENTRY TRIB2 (Right lane) cDNA for 48 hrs and lysed. Equivalent amounts of cell lysates (5 ug per lane) were separated by SDS-PAGE and immunoblotted with anti-TRIB2. Positive lysates (100ug) and (20ug) can be purchased separately from biodragon.
×