首页 / 产品 / 抗体 / 一抗

HNF4 Monoclonal Antibody

  • 中文名: HNF4A抗体
  • 别    名: TCF; HNF4; MODY; FRTS4
货号: IPDX90866
Price: ¥1380
数量:
大包装询价

产品详情

经过测试的应用
WBWB-1/500 - 1/2000
IHCIHC-1/200 - 1/1000
IF/ICCIF/ICC-1/200 - 1/1000
免疫原Purified recombinant fragment of human DDX39B (AA: 1-250) expressed in E. Coli.
反应物种Human,Mouse
抗体类型Primary antibody
克隆性Monoclonal
基因名HNF4A
形态Liquid
浓度1ug/ul
分子量49kDa
形式Liquid
存储缓冲液Purified antibody in PBS with 0.05% sodium azide and 50% glycerol.
储存Store at 4°C short term. Aliquot and store at -20°C long term. Avoid freeze/thaw cycles.

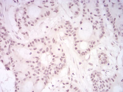
远泰Western blot analysis using HNF4A mouse mAb against HepG2 (1), HepG2 (2), K562 (3), Jurkat (4), NIH/3T3 (5), MCF-7 (6), Jurkat (7), and Hek293 (8) cell lysate.远泰2Immunofluorescence analysis of HeLa cells using HNF4A mouse mAb. Blue: DRAQ5 fluorescent DNA dye. Red: Actin filaments have been labeled with Alexa Fluor- 555 phalloidin.远泰3Immunofluorescence analysis of HeLa cells using HNF4A mouse mAb (green). Blue: DRAQ5 fluorescent DNA dye. Red: Actin filaments have been labeled with Alexa Fluor- 555 phalloidin. Secondary antibody from Fisher远泰4Immunohistochemical analysis of paraffin-embedded human HeLa tissues using HNF4A mouse mAb with DAB staining.



客户数据及评论

折叠内容

大包装询价

×