首页 / 产品 / 抗体 / 一抗

LINGO1 Monoclonal Antibody

  • 中文名: LINGO1抗体
  • 别    名: LERN1; MRT64; LRRN6A; UNQ201
货号: IPDX2771-A
Price: ¥1380
数量:
大包装询价

产品详情

经过测试的应用
WBWB-1/500 - 1/2000
IHCIHC-1/200 - 1/1000
IF/ICCIF/ICC-1/200 - 1/1000
反应物种Human,Mouse,Monkey
SwissProt IDQ96FE5
抗体类型Primary antibody
克隆性Monoclonal
宿主Mouse IgG1
基因名LINGO1
分子量62.4kDa
形式Liquid
存储缓冲液Purified antibody in PBS with 0.05% sodium azide and 50% glycerol.
储存Store at 4°C short term. Aliquot and store at -20°C long term. Avoid freeze/thaw cycles.

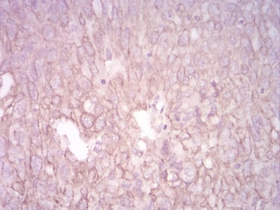
1Western blot analysis using LINGO1 mouse mAb against A431 (1), 3T3-L1 (2), COS7 (3), MCF-7 (4), SK-Br-3 (5), Hela (6), Lncap (7), and HepG2 (8) cell lysate.2Immunofluorescence analysis of MCF-7 cells using LINGO1 mouse mAb (green). Blue: DRAQ5 fluorescent DNA dye. Red: Actin filaments have been labeled with Alexa Fluor- 555 phalloidin. Secondary antibody from Fisher3Immunohistochemical analysis of paraffin-embedded human ovarian cancer tissues using LINGO1 mouse mAb with DAB staining.


客户数据及评论

折叠内容

大包装询价

×