首页 / 产品 / 抗体 / 一抗

PRG2 Monoclonal Antibody

  • 中文名: PRG2抗体
  • 别    名: MBP; BMPG; MBP1; proMBP
货号: IPDX2197-A
Price: ¥1380
数量:
大包装询价

产品详情

经过测试的应用
WBWB-1/500 - 1/2000
IHCIHC-1/200 - 1/1000
FCMFCM-1/200 - 1/400
反应物种Human,Mouse,Monkey
SwissProt IDP13727
抗体类型Primary antibody
克隆性Monoclonal
宿主Mouse IgG1
基因名PRG2
分子量23.4kDa
形式Liquid
存储缓冲液Purified antibody in PBS with 0.05% sodium azide and 50% glycerol.
储存Store at 4°C short term. Aliquot and store at -20°C long term. Avoid freeze/thaw cycles.

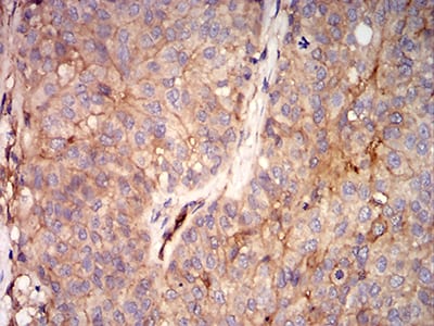
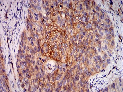
8Western blot analysis using PRG2 mouse mAb against HepG2 (1), COS7 (2), NIH/3T3 (3), A549 (4), U251 (5), HT-29 (6), HEK293 (7), and LOVO (8) cell lysate.9Flow cytometric analysis of Hela cells using PRG2 mouse mAb (green) and negative control (red).10Immunohistochemical analysis of paraffin-embedded human cervical cancer tissues using PRG2 mouse mAb with DAB staining.11Immunohistochemical analysis of paraffin-embedded human bladder cancer tissues using PRG2 mouse mAb with DAB staining.


客户数据及评论

折叠内容

大包装询价

×