| 经过测试的应用 | |
| WB | WB-1/500 - 1/2000 |
| IHC | IHC-1/200 - 1/1000 |
| 反应物种 | Mouse |
| SwissProt ID | Q96PL1 |
| 抗体类型 | Monoclonal antibody |
| 克隆性 | Monoclonal |
| 宿主 | Mouse IgG1 |
| 基因名 | SCGB3A2 |
| 分子量 | 11.7kDa |
| 形式 | Liquid |
| 存储缓冲液 | Purified antibody in PBS with 0.05% sodium azide |
| 储存 | Store at 4°C short term. Aliquot and store at -20°C long term. Avoid freeze/thaw cycles. |

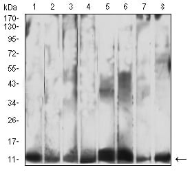
Western blot analysis using SCGB3A2 mouse mAb against Hela (1), Jurkat (2), RAW264.7 (3), NIH/3T3 (4), HL-60 (5), K562 (6), HepG2 (7), and MCF-7 (8) cell lysate.
Immunohistochemical analysis of paraffin-embedded human cervical cancer tissues using SCGB3A2 mouse mAb with DAB staining.
×